UniHD


3.3 Granulomatöse Entzündung


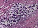
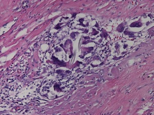
Ein Granulom ist eine mikroskopische Ansammlung epitheloider Histiozyten und/oder histiozytärer Riesenzellen. Granulome sind typisch für Krankheiten mit besonderen Erregern wie Tuberkulose oder Lepra. Aus diesem Grund spricht man bei der granulomatösen Entzündung auch von einer spezifischen Entzündung.

Ein häufiges gemeinsames Merkmal der Ursachen einer granulomatösen Entzündung ist die Unmöglichkeit der Phagozytose eines pathogenen Agens durch Makrophagen. Bei anderen Erkrankungen wie bei systemischen Granulomatosen (z.B. Sarkoidose) scheint eine überschießende Immunreaktion die Granulombildung zu begünstigen. Auch können kleine Spuren von Elementen, wie Beryllium, Granulome induzieren.
Gemeinsam ist den granulomatösen Entzündung eine spezifische Immunantwort. Epitheloidzellen bilden sich aus Histiozyten, wobei eine nicht-kanonische Typ 2-Immunantwort über die Aktivierung des IL-4-Rezeptors zur Expression von epithelialem Cadherin (E-Cadherin) in den Histiozyten führt. Als Folge bilden sich Zell-Zell-Verbindungen (Tight junctions, Adherens junctions, Desomosomen) zwischen den aktivierten Histiozyten aus, die die epitheloide Transformation der Histiozyten erklären.
Epitheloidzellgranulome können fakultativ zentrale Nekrosen aufweisen (wie bei der Tuberkulose) und/oder mehrkernige Riesenzellen bilden, die sich aus Histiozyten ableiten. Die Assoziation von Granulomen mit eosinophilen Granulozyten deutet auf eine parasitäre Infektion hin (z.B. Würmer). Häufige granulomatöse Erkrankungen und deren Ursachen sind in den folgenden Tabellen aufgeführt.

Erregerbedingte Erkrankungen mit granulomatöser Entzündung

Krankheit Ursache Gewebsereaktion
Tuberkulose Mycobacterium tuberculosis Nicht-verkäsende Tuberkel (Prototyp des Granuloms): zentrales Epitheloidzellgranulom, Randwall von Fibroblasten, Lymphozyten, Histiozyten, gelegentlich Riesenzellen. Verkäsende Tuberkel: zentrale amorphe Nekrosen mit säurefesten Stäbchen
Lepra Mycobacterium leprae Säurefeste Stäbchen in Makrophagen; nicht-verkäsende Granulome
Syphilis Treponema pallidum Gumma: mikroskopisch kleine bis makroskopisch sichtbare Läsion, äußerer Wall aus Histiozyten und infiltrierende Plasmazellen; zentral nekrotische Epitheloidzellen
Katzenkratzkrankheit Bartonella henselae Abgerundetes oder sternförmiges Granulom mit zentralen Zelltrümmern und neutrophilen Granulozyten, einzelne Riesenzellen

Nicht oder indirekt erregerbedingte Ursachen mit granulomatöser Entzündung

Ursache Beispiele
Unbekannt Sarkoidose, Morbus Crohn (entzündliche Darmerkrankung mit Immunreaktion gegen bakterielle Darm- und Autoantigene)
Endogenes Material Keratin, nekrotische Knochen- und Cholesterinkristalle, Urate
Exogene Stoffe Talkum, Kieselsäure, Nahtmaterial, Öle, Silikon
Spezielle Chemikalien Beryllium
Drogen Lebergranulome durch Allopurinol, Phenylbutazon, Sulfonamide

Transformierte Histiozyten in Granulomen

  1. Epitheloide Histiozyten: Benannt nach ihrer histologischen und teils ultrastrukturellen Ähnlichkeit mit Epithelzellen haben epitheloide Histiozyten große vesikuläre Kerne, reichlich eosinophiles Zytoplasma und bilden Zell-Zell-Verbindungen (Tight junctions, Adherens junctions, Desomosomen) aus. Sie treten in kleinen Gruppen auf und haben sekretorische Funktionen; z.B. Sekretion von Angiotensin-Converting-Enzym. Die Messung der Aktivität dieses Enzyms im Blut kann als Marker für eine Sarkoidose dienen.
  2. Langhans-Riesenzellen: Langhans-Riesenzellen zeigen an einem Zellpol hufeisenförmig ausgerichtete/geordnete Zellkerne und gelten als typisch für die Tuberkulose. Sie kommen jedoch auch bei anderen Granulomen vor (nicht zu verwechseln mit Langerhans-Zellen, den dendritischen Antigen-präsentierenden Zellen der Epidermis).
  3. Riesenzellen vom Fremdkörpertyp: Sogenannte “Fremdkörper-Riesenzellen” sind vielkernige Riesenzellen mit zufällig verteilten/ungeordneten Zellkernen im Zytoplasma. Ihr Auftreten ist typisch bei Fremdmaterial.
  4. Touton’sche Riesenzellen: Touton’sche Riesenzellen haben einen zentralen Ring mit Zellkernen, das periphere Zytoplasma ist aufgrund einer Akkumulation von Lipiden klar. Sie werden in Zusammenhang mit dem Abbau von Fettgewebe gesehen (z.B. in Xanthomen).

Obwohl Riesenzellen häufig in Granulomen vorkommen, gelten sie nicht als notwendiges Merkmal eines Granuloms. Andererseits stellen solitäre Riesenzellen in der Abwesenheit von Epitheloidzellen oder Fremdmaterial kein Granulom dar.

Bearbeiter: Thomas Longerich
Letzte Änderung: 12.07.2024