UniHD


A24: Fadengranulom


Histologie

  • Narbengewebe
  • z.T. in Resorption befindliches Nahtmaterial
  • Begleitende, chronisch-granulomatöse Entzündung mit mehrkernigen Riesenzellen vom Fremdkörpertyp sowie Lymphozyten und Makrophagen

Kurspräparat

Klinisch-pathologische Korrelation

Das Fadengranulom ist ein Beispiel für durch Fremdmaterial ausgelöste Entzündungsprozesse. Hierbei steht eine Granulombildung mit Makrophagenaktivierung und Ausbildung mehrkerniger Riesenzellen im Vordergrund. Begleitend finden sich zumeist Vernarbung, z.T. auch kleinere Gewebsnekrosen und Granulationsgewebe als Zeichen der Wundheilung. Je nach verwendetem Nahtmaterial können Fadengranulome über viele Jahre persistieren und klinisch gelegentlich einem Tumorknoten ähneln.

Bearbeiter: Thomas Longerich
Letzte Änderung: 5.03.2017

Kurs Allgemeinpathologie

INF224

  3.3 Granulomatöse Entzündung  

Bilder (3)

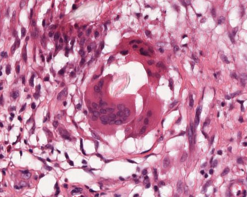
A24 Fadengranulom

Abb. 568: Riesenzellen vom Fremdkörpertyp mit Resten von Fadenmaterial


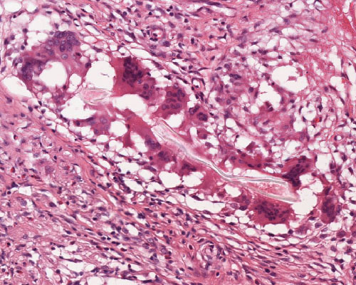
A24 Fadengranulom

Abb. 569: Riesenzellen vom Fremdkörpertyp mit Resten von Fadenmaterial

3 Entzündungslehre - Skript

3.3 Granulomatöse Entzündung - Weitere Kurspräparate

Related articles