UniHD


A46: Miliartuberkulose (Milz)


  • Organdiagnose: Milz
  • häufiges Auftreten bei schlechter Abwehrlage
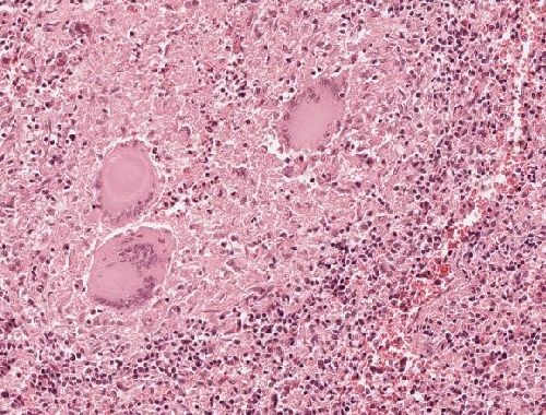
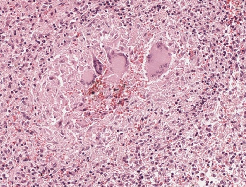
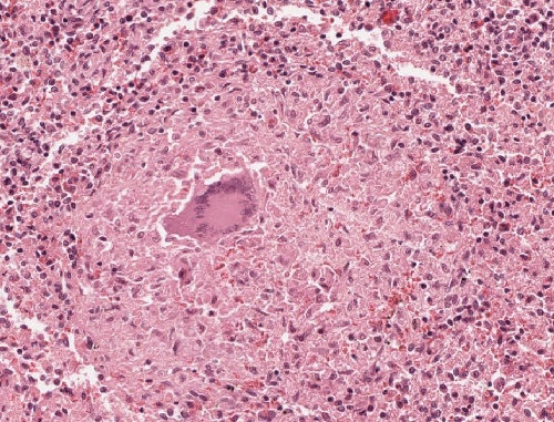
  • Überwiegend in der roten Pulpa: zahlreiche kleine epitheloidzellige Granulome mit geringer Verkäsung und Langhans-Riesenzellen erkennbar

Kurspräparat

Pathogenese und Verlauf
Die Miliartuberkulose entsteht durch eine hämatogene Streuung im Verlauf einer primären oder postprimären Tuberkulose bei unzureichender Abwehrlage und hoher Erregerlast. Es kommt zur Bildung zahlreicher kleiner und makroskopisch kaum sichtbarer Granulome (1–2 mm) v.a. in Leber und Milz aber potentiell auch in anderen Organen. Gleichzeitig besteht häufig auch eine tuberkulöse Sepsis (Landouzy-Sepsis). Betroffen sind häufig immungeschwächte Patienten (z.B. bei hämatologischer Grunderkrankung oder immunsuppressiver Therapie), die durch ihre Insuffizienz der T-Zell-Reaktion besonders gefährdet sind. Der Tuberkulinhauttest fällt unter dieser Konstellation negativ aus. Bei Fehlen der T-Zell-Reaktion können sich die Bakterien ungehemmt in Makrophagen vermehren und sich ungehindert auf dem Blutweg ausbreiten. Gleichzeitig produzieren die infizierten Makrophagen große Mengen an TNF-α, welches zu Gewebeschäden und zum septischen Schock führt. Die Erkrankung ist meist tödlich.

Bearbeiter: Thomas Longerich
Letzte Änderung: 5.03.2017

Kurs Allgemeinpathologie

INF224

  3.3 Granulomatöse Entzündung  

Bilder (3)

A46 Miliartuberkulose

Abb. 463: Epitheloidzellgranuom in der roten Pulpa mit Nekrose


A46 Miliartuberkulose

Abb. 464: Epitheloidzellgranuom in der roten Pulpa mit Nekrose


A46 Miliartuberkulose

Abb. 465: Epitheloidzellgranuom in der roten Pulpa mit Nekrose

3 Entzündungslehre - Skript

3.3 Granulomatöse Entzündung - Weitere Kurspräparate

Related articles