UniHD


A44: Lungentuberkulose


Histologie:

  • Organdiagnose: Lunge
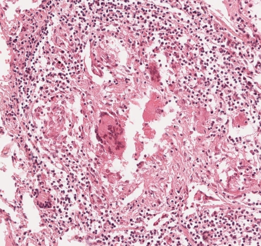
  • proliferativ-produktive Entzündung mit typischen epitheloidzelligen Granulomen mit zentraler Koagulationsnekrose (Verkäsung) und mehrkernigen (Langhans’schen) Riesenzellen

Kurspräparat

Ursache
Die Tuberkulose wird in unseren Breiten ganz überwiegend durch das Mycobacterium tuberculosis verursacht, welches zur Lungentuberkulose führt. Die Darmtuberkulose und deren Erreger Mycobacterium bovis sind durch hygienische Maßnahmen (z.B. die Pasteurisierung der Milch) und durch Tierseuchenkontrollen in Europa sehr selten geworden. Bei 90% der neu infizierten Patienten mit Lungentuberkulose liegt eine Tröpfcheninfektion durch Patienten mit einer bereits offenen Lungentuberkulose vor. Seltener ist eine Übertragung auch durch Staub, die dadurch erfolgen kann, das die Bakterien über Wochen auch außerhalb des Organismus überleben können. Erkrankung und Tod durch Tuberkulose sind meldepflichtig, ebenso wie der Nachweis der Erreger im Labor.

Pathogenese
Die Pathogenität des Tuberkuloseerregers beruht auf einem besonderen Aufbau der Zellwand, die langkettige Glykolipide und Trehalose enthält, und so gegenüber der Phagozytose durch nicht aktivierte Makrophagen resistent ist. Hinzu kommt, dass die von den Mykobakterien hervorgerufene Immunreaktion im Gegensatz zu anderen Bakterien eine Hypersensitivitätsreaktion vom verzögerten Typ ist (Typ IV). Diese T-Zell-Reaktion und die direkte zytotoxische Wirkung der mykobakteriellen Zellwandbestandteile führen zur Bildung spezifischer epitheloidzelliger Granulome vom Tuberkulosetyp mit zentraler “verkäsender” Nekrose. Dabei konfluieren Makrophagen zu mehrkernigen Riesenzellen (Langhans-Zellen) und bilden ein Granulom. Im Zentrum der Granulome entstehen unter dem Einfluss lysosomaler Enzyme verkäsende Nekrosen aus Überresten von Mykobakterien, Phagozyten sowie Gewebetrümmern. Die Granulome werden durch einen Wall aus Lymphozyten und Plasmazellen von außen begrenzt. Da überlebende Mykobakterien in dem anaeroben extrazellulären Milieu der zentralen Nekrose nicht weiter wachsen können, wird die Infektion effektiv eingedämmt. Dies geschieht allerdings nur unter der Voraussetzung, dass unter ständiger T-Zell-Hilfe eine effektive Abschottung durch Epitheloidzellsäume stattfindet. Das klinisch-pathologische Bild nach einer Infektion mit Mykobakterien wird daher von der individuellen Abwehrlage entscheidend mitbestimmt.

Bearbeiter: Thomas Longerich
Letzte Änderung: 5.07.2024

Kurs Allgemeinpathologie

INF224

  3.3 Granulomatöse Entzündung  

Bilder (3)

A44 Lungentuberkulose

Abb. 460: Epitheloidzelliges Granulom


A44 Lungentuberkulose

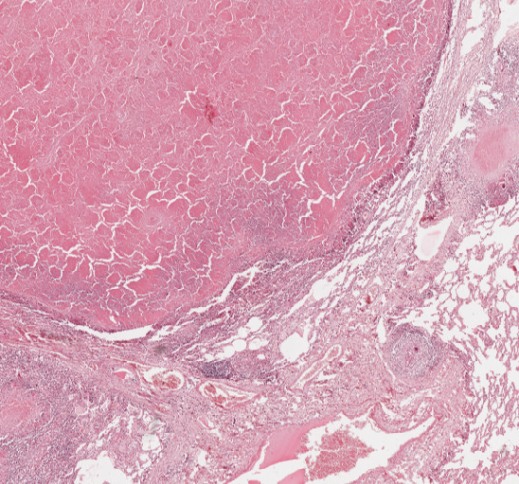
Abb. 461: Scharf begrenzter Nekroseherd mit umgebendem Lungenparenchym

3 Entzündungslehre - Skript

3.3 Granulomatöse Entzündung - Weitere Kurspräparate

Related articles