UniHD


A48: Sarkoidose (Lymphknoten)


Histologie

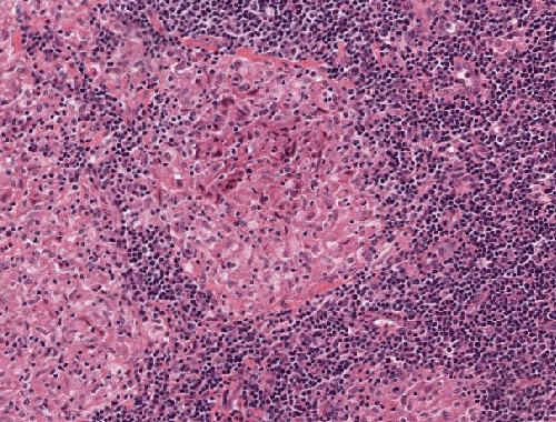
  • Organdiagnose: Lymphknoten (sinusoidale Architektur)
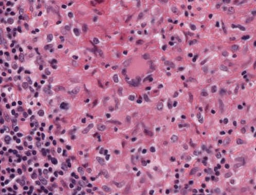
  • Zahlreiche kleine epitheloidzellige Granulome mit geordneten Riesenzellen und peripherem Lymphozytenwall, keine zentrale Nekrose.
  • In den Riesenzellen intrazytoplasmatische Einschlußkörperchen: Schaumann-Körperchen

Kurspräparat

Definition
Teils lokal begrenzte, überwiegend jedoch generalisierte Krankheit unbekannter Ätiologie mit charakteristischer granulomatöser Entzündungsreaktion, v. a. in der Lunge und in den tracheobronchialen Lymphknoten. Sie tritt insbesondere bei jungen Frauen auf. (Syn.: Morbus Boeck; sprich: Buck).

Ursache
Sie ist unbekannt. Es werden jedoch Antigene atypischer Mykobakterien und Propionibakterien diskutiert.

Mögliche Organmanifestationen

  • Lunge
  • Lymphknoten
  • Uveoparotitis (Heerfordt-Syndrom, ca. 5-20%)
  • Hautbefall (ca. 10%)
  • Leberbefall (ca. 30%)
  • Milzbefall (ca. 25%)
  • Knochen- und Gelenkbefall (Ostitis cystica multiplex Jüngling, ca. 5%)
  • Herzbefall (ca. 5-30%)
  • ZNS-Befall (ca. 5%)

Stadieneinteilung

  • akute Verlaufsform, sog. Löfgren-Syndrom
  • Initialstadium mit lymphozytenreicher Alveolitis und wenigen kleinen Granulomen
  • mittleres Stadium mit floriden zellreichen Granulomen
  • Spätstadium mit Vernarbung der Granulome und ausgedehnter interstitieller Lungenfibrose
Bearbeiter: Thomas Longerich
Letzte Änderung: 5.07.2024

Kurs Allgemeinpathologie

INF224

  3.3 Granulomatöse Entzündung  

Bilder (3)

A48 Sarkoidose (Lymphknoten)

Abb. 466: Epitheloidzellgranuom im Lymphknoten


Sarkoidose

Abb. 467: Epitheloidzellgranulom (Detail) mit Riesenzelle vom Langhans-Typ

3 Entzündungslehre - Skript

3.3 Granulomatöse Entzündung - Weitere Kurspräparate

Related articles