UniHD


3 Entzündungslehre


Bilder zur Allgemeinpathologie

  • A17 HP-assoziierte Gastritis

    Antrummukosa mit H. pylori (Giemsa)
    A17 HP-assoziierte Gastritis
  • A24 Fadengranulom

    Riesenzellen vom Fremdkörpertyp mit Resten von Fadenmaterial
    A24 Fadengranulom
  • A24 Fadengranulom

    Riesenzellen vom Fremdkörpertyp mit Resten von Fadenmaterial
    A24 Fadengranulom
  • A32 Akute ulzeröse Appendizitis

    Akute Entzündung mit Ulzeration des Oberflächenepithels
    Akute Appendizitis
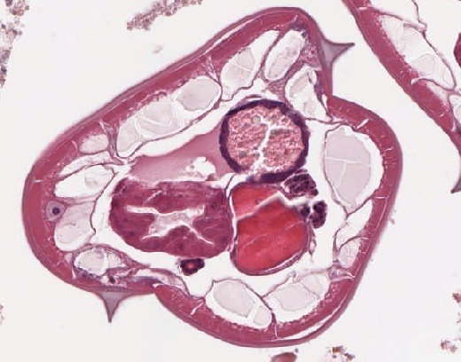
  • A32 Oxyuriasis

    Querschnitt durch den Wurm im Lumen der Appendix
    A32 Oxyuriasis
  • A33 Lobärpneumonie

    Fibrinreiches granulozyäres Exsudat intraalveolär.
    42
  • A34 Bronchopneumonie

    Fleckförmiges, Fibrin- und granulozytenreiches Exsudat intraalveolär (Übersicht)
    A34 Bronchopneumonie
  • A34 Bronchopneumonie

    Fleckförmiges, Fibrin- und granulozytenreiches Exsudat intraalveolär (Ausschnitt)
    A34 Bronchopneumonie
  • A35 Grippepneumonie

    Fibrinreiches hämorrhagisches Exsudat in den Alveolarräumen
    A35 Grippepneumonie
  • A36 Herzmuskelabszesse

    Herzmuskulatur mit zahlreichen Pilzhyphen und Granulozyten (PAS)
    685
  • A38 Extrakapilläre Glomerulonephritis

    Schlingennekrosen der Glomeruli mit Fibrinexsudation und Ausbildung extrakapillärer zellulärer “Halbmonde” des Kapselepithels
    48
  • A39 Analgetikanephropathie

    Verschmälerte Nierentubuli mit verbreiterten Basalmembranen und insterstitieller Fibrose (PAS)
    51
  • A39 Analgetikanephropathie

    Interstitielle Fibrose und chronische Entzündung (PAS)
    51
  • A41 Panarteriitis nodosa

    Zwiebelschalenartig verödeter Glomerulus (Trichrom)
    A41 Panarteriitis nodosa
  • A42 Arteriitis temporalis

    Fibrinoide Nekrose mit Organisation und Zerstörung der Elastica interna
    A42 Arteriitis temporalis
  • A42 Arteriitis temporalis

    Mehrkernige Riesenzellen (hohe Vergrößerung)
    A42 Arteriitis temporalis
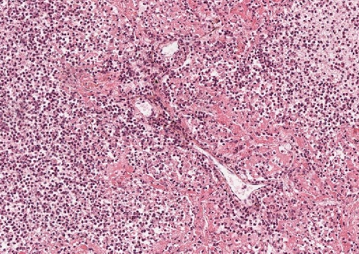
  • A43 Chronische Virushepatitis

    Entzündliche Infiltration der Portalfelder, unscharf gegenüber dem Leberparenchym begrenzt.
    A43 Chronische Virushepatitis
  • A44 Lungentuberkulose

    Epitheloidzelliges Granulom
    A44 Lungentuberkulose
  • A44 Lungentuberkulose

    Scharf begrenzter Nekroseherd mit umgebendem Lungenparenchym
    A44 Lungentuberkulose
  • A45 Pericarditis tuberculosa

    Perikarditis mit ausgeprägten Fibrinexsudaten
    A45 Pericarditis tuberculosa
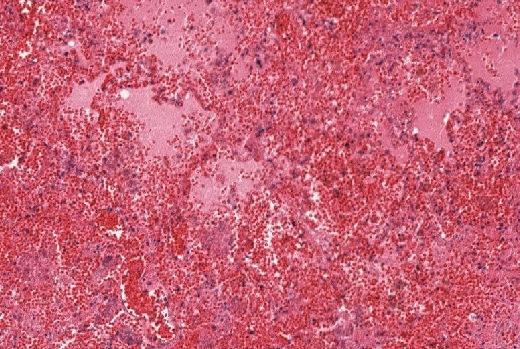
  • A46 Miliartuberkulose

    Epitheloidzellgranuom in der roten Pulpa mit Nekrose
    A46 Miliartuberkulose
  • A46 Miliartuberkulose

    Epitheloidzellgranuom in der roten Pulpa mit Nekrose
    A46 Miliartuberkulose
  • A46 Miliartuberkulose

    Epitheloidzellgranuom in der roten Pulpa mit Nekrose
    A46 Miliartuberkulose
  • A47 Lymphknotentuberkulose

    Zentral käsige Nekrosen, angrenzend breite Fibrosezone
    A47 Lymphknotentuberkulose
  • A48 Sarkoidose (Lymphknoten)

    Epitheloidzellgranuom im Lymphknoten
    A48 Sarkoidose (Lymphknoten)
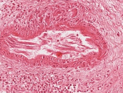
  • A51 Rheumatische Myokarditis

    Perivaskuläres Infiltrat mit Riesenzellen
    A51 Rheumatische Myokarditis
  • A51 Rheumatische Myokarditis

    Perivaskuläres Entzündungsinfiltrat mit einer Riesenzelle
    A51 Rheumatische Myokarditis
  • A79 Aspergillus-Pneumonie

    Myzel mit verzweigten Aspergillus-Hyphen und Nekrose
    A79 Aspergillus-Pneumonie
  • A90 Chronische Cholezystitis

    Dichtes Entzündungsinfiltrat und Verplumpung der Zotten
    A90 Chronische Cholezystitis
  • A90 Chronische Cholezystitis

    Mukosa mit chronischer Entzündung und intestinaler Metaplasie
    A90 Chronische Cholezystitis

Bearbeiter: Frank Bergmann