UniHD


A98: Schockniere


Histologie

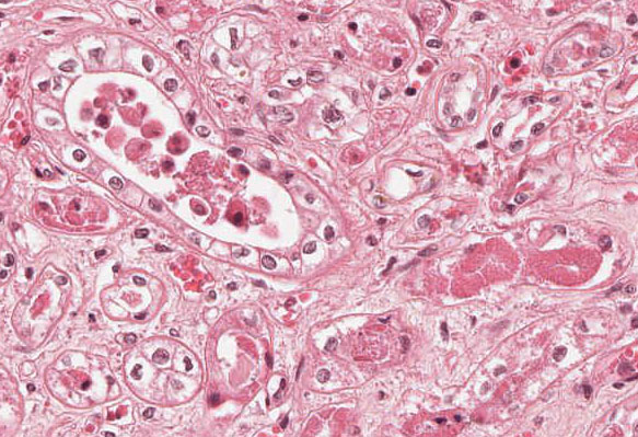
  • Organdiagnose Niere
  • Hyaline Mikrothromben in den arteriellen Gefäßen und im Schlingenapparat der Glomeruli
  • Frische Tubulusnekrosen
  • Keine Tubulusatrophie

Kurspräparat

Klinisch-pathologische Korrelation

Bei schweren Blutverlusten werden durch den Sympathikus zur Aufrechterhaltung des Blutdruckes die Nierengefäße konstringiert, was eine Ischämie des Nierengewebes und damit ein akutes Nierenversagen (Schockniere) nach sich zieht. Folge des Schockgeschehens ist die Ausbildung von Tubulusnekrosen. Aufgrund des hohen Sauerstoffbedarfs der Tubulusepithelien reagieren diese Zellen früher auf generalisierte Kreislaufstörungen als andere Zellkompartimente. Die Niere ist damit ein klassisches Schockorgan. Sofern (wie im Kurspräparat) zusätzlich eine Verbrauchskoagulopathie (disseminierte intravasale Koagulopathie, DIC) einsetzt, lassen sich zusätzlich hyaline Mikrothromben in kleinen und mittelgroßen Arterien sowie in den Schlingen der Glomeruli nachweisen. Die Prognose des Schockgeschehens hängt im Wesentlichen von der Ursache ab, bei voll ausgebildeter Verbrauchskoagulopathie ist die Letalität hoch.

Selbst nach erfolgreicher Wiederherstellung des Kreislaufes und damit auch der Nierenperfusion bleibt die GFR zunächst stark erniedrigt (Oligurie-Anurie). Erst wenn sich die Tubuluszellen teilweise wieder erholen, setzt auch die GFR (glomeruläre Filtrationsrate) wieder ein. Allerdings ist die Transportkapazität der Tubuluszellen häufig noch für einige Wochen eingeschränkt, und es kommt trotz immer noch erniedrigter GFR (glomeruläre Filtrationsrate) zur massiven Ausscheidung von Wasser und Salzen (Polyurie). Erholt sich die Niere nicht mehr, bleibt eine chronische Niereninsuffizienz zurück.

Bearbeiter: Thomas Longerich
Letzte Änderung: 8.07.2024

Kurs Allgemeinpathologie

INF224

  4.5 Schock  

Bilder (3)

A98 Schockniere

Abb. 576: Frische Tubulusnekrosen

4 Zirkulationsstörungen - Skript

4.5 Schock - Weitere Kurspräparate

Related articles