UniHD


A77: Verbrauchskoagulopathie


Histologie

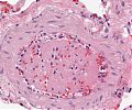
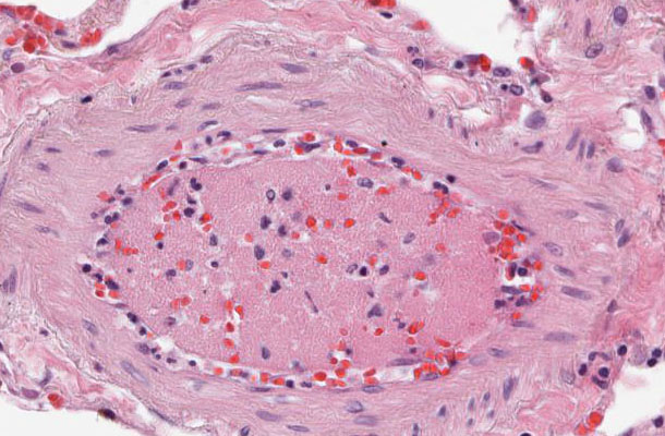
  • Organdiagnose Lunge
  • Hyaline Mikrothromben in den arteriellen Gefäßen
  • Blutgestaute Alveolarsepten
  • Beginnende Ausbildung hyaliner Membranen

Kurspräparat

Klinisch-pathologische Korrelation

Die Verbrauchskoagulopathie (Synonym: disseminierte intravasale Gerinnung, DIC) ist ein lebensbedrohlicher Zustand, der durch eine generalisierte und unregulierte Aktivierung des Gerinnungssystems gekennzeichnet ist. Ursächlich ist zumeist ein Schockgeschehen, größere Blutverluste oder Septikopyämien. Unter physiologischen Umständen führt die Aktivierung der Gerinnungskaskade zur Umwandlung von Fibrinogen in Fibrin, das durch fibrinolytische Enzyme (v.a. Plasmin in Gegenwart von Thrombin) lysiert wird. Eine Verbrauchskoagulopathie entwickelt sich typischerweise durch die generalisierte Aktivierung der Gerinnungskaskade mit Ausbildung von Fibrinkoageln, die ihrerseits die Fibrinolyse, d.h. das Plasmin-Thrombin-System aktivieren. Es kommt zur Erschöpfung beider Enzymsysteme mit einerseits gesteigerter Blutungsneigung (Schleimhautblutungen aus Mund, Nase u.a., Blutungen aus Venenpunktionsstellen, aber auch größere Hämorrhagien) und andererseits fehlender Auflösung kleiner intravasal gelegener Gerinnsel. Es kommt zu progredientem Organversagen (insb. Nierenversagen), z.T. auch zu peripheren Durchblutungsstörungen bis hin zur Ausbildung von Gangränen. Laborchemisch ist die Prothrombinzeit deutlich erhöht, der Fibrinogenspiegel stark erniedrigt und es finden sich große Mengen an Fibrinspaltprodukten (z.B. D-Dimere). Im Blutbild lässt sich eine deutliche Thrombopenie sowie ggf. fragmentierte Erythrozyten (sog. Schistozyten) nachweisen. Die Verbrauchskoagulopathie ist, sobald sie voll entwickelt ist, schwer zu durchbrechen.

Bearbeiter: Thomas Longerich
Letzte Änderung: 13.07.2024

Kurs Allgemeinpathologie

INF224

  4.5 Schock  

Bilder (3)

A77 Verbrauchskoagulopathie

Abb. 574: Hyaliner Mikrothrombus

4 Zirkulationsstörungen - Skript

4.5 Schock - Weitere Kurspräparate

Related articles