UniHD


A36: Herzmuskelabszesse


Histologie

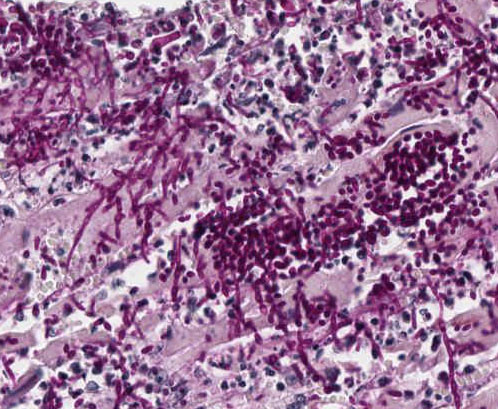
  • Organdiagnose: Herz
  • Mehrere, im Myokard gelegene septische Streuherde
  • Gemischt leukozytäres Entzündungsinfiltrat
  • Erregernachweis (Pilze!)

Kurspräparat

Klinisch-pathologische Korrelation
Das Auftreten multipler Herzmuskelabszesse ist typischerweise Folge einer hämatogenen Erregeraussaat im Rahmen eines septischen Geschehens. Durch die generalisierte Freisetzung von Entzündungsmediatoren und Toxinen (erregerabhängig) kann sich in der Folge ein septisch-bedingter distributiver Schock mit Vasodilatation, Aktivierung der Gerinnungskaskade mit konsekutiver Verbrauchskoagulopathie und Multiorganversagen (Minderperfusion!) entwickeln. Klinisch muss neben der Sanierung des Erregerreservoirs (Herzklappen, zentrale Venenkatheter u.a.) die Beherrschung der Kreislaufsymptomatik sowie die Aufrechterhaltung der Funktion lebenswichtiger Organe wie Nieren, Leber und Lungen im Vordergrund stehen, bei Auftreten eines Multiorganversagens ist die Prognose ungünstig (Letalität des septisch-bedingter distributiven Schocks ca. 70%).

Bearbeiter: Thomas Longerich
Letzte Änderung: 8.07.2024

Kurs Allgemeinpathologie

INF224

  4.5 Schock  

Bilder (3)

685

Abb. 573: Herzmuskulatur mit zahlreichen Pilzhyphen und Granulozyten (PAS)

4 Zirkulationsstörungen - Skript

4.5 Schock - Weitere Kurspräparate

Related articles