UniHD


A39: Analgetikanephropathie der Niere


Histologie

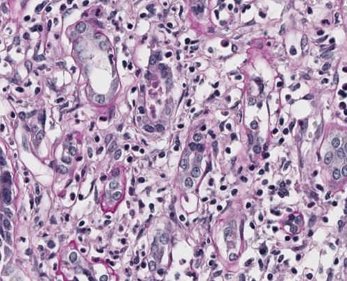
Das Kurspräparat zeigt eine Niere mit chronischer tubulointerstitieller Schädigung in Form von interstitieller Fibrose und tubulärer Atrophie. Darüber hinaus zeigt sich eine entzündlich demarkierte Nekrose der Papillenspitze.

  • Organdiagnose: Niere (Rinden-/Markgliederung, Glomeruli der Nierenrinde)
  • Papillennekrose mit entzündlicher Demarkation
  • Kapillarsklerose

Kurspräparat

Definiton
Die Analgetikanephropathie ist die Folge einer langjährigen, medikamentös-toxischen vaskulären Schädigung, induziert durch die Einnahme phenacetinhaltiger Analgetika.

Pathogenese
Phenacetin ist ein Analgetikum aus der Gruppe der nicht-steroidalen Antiphlogistika, das in Deutschland bis die in späten 80er Jahre des 20. Jahrhunderts kommerziell erhältlich war, dann jedoch auf Grund seiner nephrotoxischen Nebenwirkung vom Markt genommen wurde. Phenacetin führt über die Hemmung der Synthese vasodilatativer Prostaglandine (z.B. Prostaglandin E2) zu einer Vasokonstriktion der Nierenmarkgefäße führt. Darüber hinaus beobachtet man nach langjähriger Einnahme von Phenacetin eine Kapillarsklerose der Nierenmarkkapillaren, die die Minderperfusion, insbesondere tiefer Anteile des Nierenmarks weiter begünstigt. Diese substanztoxisch bedingte, vaskuläre Schädigung führt zur morphologisch erkennbaren Papillennekrose erkennbar durch nekrotisch zerfallen Sammelrohre mit umgebender entzündlicher Demarkation. Hiervon abzugrenzen ist die akute interstitielle Nephritis, die ebenfalls häufig in Assoziation mit der Einnahme nicht-steroidaler Antiphlogistika beobachtet wird. Hierbei handelt es sich aber um ein akutes Geschehen, das morphologisch durch ein variabel eosinophilenreiches interstitielles Entzündungsinfiltrat der Nierenrinde gekennzeichnet ist.

Bearbeiter: Thomas Longerich
Letzte Änderung: 12.07.2024

Kurs Allgemeinpathologie

INF224

  3.2 Chronische Entzündung  

Bilder (3)

51

Abb. 383: Verschmälerte Nierentubuli mit verbreiterten Basalmembranen und insterstitieller Fibrose (PAS)


51

Abb. 384: Interstitielle Fibrose und chronische Entzündung (PAS)

3 Entzündungslehre - Skript

3.2 Chronische Entzündung - Weitere Kurspräparate

Related articles