UniHD


A90: Chronische Cholezystitis


Histologie
  • Organdiagnose: Gallenblase
  • Vergrößerung der Gallenblase durch narbige Wandverdickung
  • Schleimhaut: narbig atrophisch und abgeflacht
  • Antrale- und Becherzellmetaplasie
  • intramurale Schleimhauteinstülpungen
  • chronische Entzündungsinfiltrate intramural
  • Ausbildung von Sekundärfollikeln
  • fokal granulozytäre Infiltrate

Kurspräparat

Man unterscheidet je nach entzündlichen Infiltrat folgende Formen der Cholezystitis:

  • Ulzeröse Cholezystitis: Schleimhautulzeration
  • Ulzerophlegmonöse Cholezystitis: Granulozytäres Infiltrat
  • Gangränöse Cholezystitis: Wandnekrose
  • Gallenblasenempyem: intraluminale Ansammlung eines eitrigen Exsudats
  • Emphysematöse Cholezystitis: Infektionen mit gasbildenden Erregern (vor allem bei Diabetikern!)

Klinik

  • Die chronische Cholezystitis verläuft meist asymptomatisch, kann aber jederzeit in eine akute Form übergehen,
  • rezidivierende Gallenkoliken bei Steinträgern möglich, Druckschmerzen im rechten Oberbauch,
  • Fieber Schüttelfrost, Übelkeit und Erbrechen während des akuten Schubs.
  • Mögliche Spätkomplikation: Gallenblasenkarzinom.

Diagnose

  • Anamnese und Klinische Untersuchung (positives Murphy-Zeichen)
  • Labor: Entzündungsparameter erhöht, bei Gangobstruktion: Anstieg der Cholestaseparameter
  • Abdomensonografie
  • Magnetresonanzcholangiographie
  • Endoskopische retrograde Cholangiopankreatikographie

Therapie
Operation, meist im entzündungsfreien Intervall

Bearbeiter: Thomas Longerich
Letzte Änderung: 12.07.2024

Kurs Allgemeinpathologie

INF224

  3.2 Chronische Entzündung  

Bilder (3)

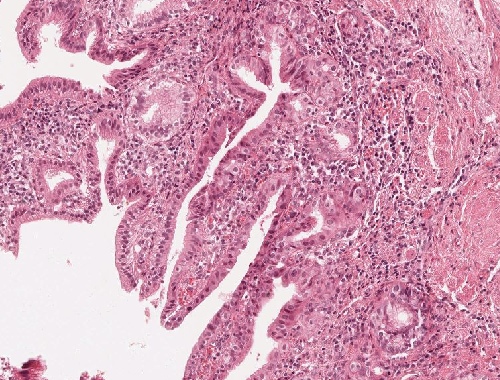
A90 Chronische Cholezystitis

Abb. 472: Dichtes Entzündungsinfiltrat und Verplumpung der Zotten


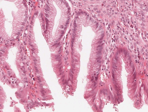
A90 Chronische Cholezystitis

Abb. 473: Mukosa mit chronischer Entzündung und intestinaler Metaplasie

3 Entzündungslehre - Skript

3.2 Chronische Entzündung - Weitere Kurspräparate

Related articles