UniHD


A43: Chronische Virushepatitis


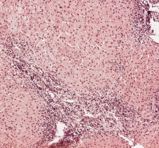
Histologie

  • Stanzbiopsiezylinder
  • Organdiagnose: Leber
  • entzündliche Infiltration, v.a. im Bereich der Portalfelder
  • fingerförmiges Übergreifen der Entzündung in das angrenzende Parenchym (Mottenfraßnekrosen)
  • mononukleär demarkierte Zelluntergänge
  • Faservermehrung

Kurspräparat

Definition
Die Virushepatitis ist eine mononukleäre Entzündung des Leberparenchyms, die durch eine unvollständige Viruselimination (mangelnde Immunantwort) chronisch werden kann.

Ätiologie
Infektionen mit Hepatitisvirus B, C oder D (bei Hepatitis B-Koinfektion). Bei immunsupprimierten Patienten ggf. auch Hepatitis E.

Morphologie
Mikroskopisch ist eine portalfeldbetonte mononukleäre Entzündung (Infiltrat: Lymphozyten, Histiozyten, Plasmazellen), die in Form sogenannter Mottenfraßnekrosen (Interface-Hepatitis) auf das benachbarte Läppchen übergreifen kann, erkennbar. Die Leberparenchymschädigung ist Folge einer Elimination infizierter Hepatozyten durch das Immunsystem. Eine beginnende Bindegewebsvermehrung (Fibrose) ist zu Beginn der Erkrankung fakultativ. Im Verlauf kommt es zur progredienten Fibrose bis hin zum zirrhotischen Umbau.

Klinik
Die Klinik hängt vom Ausmaß der Leberschädigung ab und reicht von unspezifischen Symptomen (z.B. Müdigkeit, Abgeschlagenheit) bis hin zu Zeichen des Leberausfalls (Ikterus, portale Hypertension, Aszites, etc.).

Klassifizierung der chronischen Hepatitis
Die traditionellen Begriffe wie chronisch-persistierende oder chronisch-aktive Hepatitis sind obsolet. Die Diagnose der Gewebsuntersuchung sollte enthalten:

  1. Ätiologie z.B. viral, medikamentös-toxisch etc.
  2. Grading = aktuelle entzündlichen Aktivität in der histologischen Probe:
    • minimal = ausschließlich geringe portale entzündliche Infiltration
    • mild = portale entzündliche Infiltration mit einzelnen Mottenfraßnekrosen und geringer entzündlicher Aktivität im Läppchen
    • mäßiggradig = zahlreiche Mottenfraßnekrosen und nekroinflammatorische Aktivität, Läppchen mit einzelnen Gruppennekrosen
    • schwergradig = ausgeprägte Mottenfraßnekrosen und Brückennekrosen im Läppchen
  3. Stadium: Das Stadium wird entsprechend dem Ausmaß der Fibrose ebenfalls graduiert in
    • minimal = portale Bindegewebsfaservermehrung
    • mild = portale Bindewebsvermehrung mit Septenbildung
    • mäßiggradig = portale Bindegewebsvermehrung mit Septenbildung und Architekturstörung
    • schwergradig = Leberzirrhose
Bearbeiter: Thomas Longerich
Letzte Änderung: 12.07.2024