UniHD


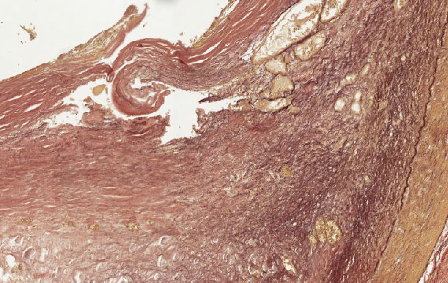
A88: Koronarsklerose mit Thrombose


Histologie (EvG-Färbung)

  • Organdiagnose: Koronararterie
  • Querschnitt einer Koronararterie mit arteriosklerotischer Plaque
  • subtotale Stenose durch inkompletten thrombotischen Verschluss
  • Thrombus: schon teilweise organisiert
  • Lamina elastica interna und Media intakt, bei dem Plaque handelt es sich um eine subendotheliale Läsion

Kurspräparat

Klinische Korrelation
Das klinische Bild der Koronarsklerose mit Thrombose ist die koronare Herzkrankheit. Dabei kann es je nach dem Schweregrad des Verschlusses zu dem Bild einer stabilen oder instabilen Angina pectoris, eines Myokardinfarkts, einer Herzrhythmusstörung, eines plötzlichen Herztodes und einer akuten oder chronischen Herzinsuffizienz kommen. Der Krankheitsverlauf kann wie Obduktionsbefunde zeigen aber auch klinisch stumm sein. Die Atherome sieht man angiographisch (Herzkatheter) oder im intravaskulären Ultraschall. Durch Verschluss der großen epikardialen Koronararterien kommt es in Ruhe zu den typischen transitorischen EKG-Veränderungen in Form von ST-Strecken-Hebungen.

Pathophysiologie
Die Angina pectoris (Gefühl der Brustenge) wird durch eine myokardiale Ischämie bei verminderter koronarer Durchblutung ausgelöst. Die Sauerstoffversorgung ist zwar kritisch erniedrigt, aber noch ausreichend, so dass sich kein Herzinfarkt entwickelt. Physiologisch reguliert unter anderem der arterielle Sauerstoffpartialdruck (pO2) die Durchblutung der Koronargefäße, die je nach Bedarf auf das Drei- bis Fünffache gesteigert werden kann (Koronarreserve). Ein Absinken des pO2 führt zu einem Anstieg der Koronardurchblutung. Kann das Koronarsystem bei vermehrter Belastung des Herzmuskels die notwendige Blutmenge nicht mehr liefern, liegt eine relative Koronarinsuffizienz vor. Sie ist meist die akute Folge einer vermehrten Belastung. Bei manchen Menschen liegt jedoch bereits in Ruhe eine chronische Insuffizienz des Koronarsystems vor. Stenosen der Koronararterien bei Atherosklerose sind die häufigste, Aortenklappenfehler, ein plötzlicher Blutdruckabfall oder ein Koronararterienspasmus seltene Ursachen der Koronarinsuffizienz. Als Folge sinkt der ATP-Spiegel im Herzmuskel (akute Hypoxidose) und das Laktat steigt durch die anaerobe Glykolyse an.

Bearbeiter: Thomas Longerich
Letzte Änderung: 13.07.2024

Kurs Allgemeinpathologie

INF224

  4.2 Arteriosklerose  

Bilder (3)

A88 Koronarsklerose mit Thrombose

Abb. 426: Subintimaler Plaque und zentrale Thrombose (rechts). Die Media ist intakt.


A88 Koronarsklerose mit Thrombose

Abb. 427: Geschichteter koronarieller Thrombus mit Rekanalisierung.


A88 Koronarsklerose mit Thrombose

Abb. 575: Arterienwand (re.) mit aufgebrochener Plaque

4 Zirkulationsstörungen - Skript

4.2 Arteriosklerose - Weitere Kurspräparate

Related articles