UniHD


A91: Fettleber


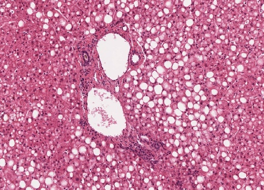
Histologie:
  • Organdiagnose: Leber
  • Normal in Läppchen gegliedertes Lebergewebe
  • Läppchenzentral betont makrovesikuläre Fetteinlagerungen in die Hepatozyten

Kurspräparat

Definition
Eine Fettleber liegt vor, wenn mindestens 50% der Hepatozyten intrazytoplasmatische Fetteinlagerungen (überwiegend Triglyceride) aufweisen.

Pathogenese
Die Fettleber beruht auf einer Störung des Fettsäure- und Triglyzeridstoffwechsels in der Leberzelle und kann daher auf verschiedene Weise entstehen:

  • erhöhtes Fettsäureangebot an die Leberzelle aus der Nahrung oder durch erhöhte Fettsäuremobilisation aus dem Fettgewebe
  • vermehrte Fettsäuresynthese
  • verminderte Fettsäureoxidation in Mitochondrien
  • Hemmung der Apoproteinsynthese (z.B. bei toxischer Schädigung der Proteinsynthese) und damit der VLDL-Bildung
  • Störung des intrazellulären Transportes oder der Sekretion von VLDL

Die Fettleber ist bei Entfernung der Noxe reversibel, die Fetteinlagerung _per se: führt nicht zur Leberzirrhose. Es werden eine makrovesikuläre (eine große Fettvakuole verdrängt den Zellkern) und eine mikrovesikuläre Verfettung unterschieden.

Ursachen:
Aufgrund der Mechanismen der Fettleberentwicklung können unterschiedliche Ursachen zu einer Fettleber führen:

  • Alkoholismus: Alkohol ist die häufigste Ursache einer Fettleber in den westlichen Industrienationen. Für ihre Entwicklung sind erhöhte Fettsäuresynthese in der Leberzelle, verminderte Fettsäureoxidation, erhöhte Veresterung von Fettsäuren zu Triglyzeriden, evtl. auch erhöhte Fettsäuremobilisation aus dem Fettgewebe und verminderte VLDL-Abgabe verantwortlich.
  • Vergiftungen: z.B. durch halogenierte Kohlenwasserstoffe oder Pilze.
  • Proteinmangelernährung: Bei schwerer Proteinmangelernährung (Kwashiorkor) kommt es zu einer Leberverfettung, aber auch zu Ödemen und Aszites. Für die Entwicklung einer Fettleber dürfte eine Störung der Lipoproteinsynthese aufgrund des Proteinmangels ursächlich sein.
  • Adipositas (Fettsucht): Hier überwiegt die hepatische Triglyzeridanhäufung die Triglyzeridsekretion.
  • Diabetes mellitus: Die Fettleber findet sich vor allem bei Typ-II-Diabetes. Sie ist hingegen selten beim (juvenilem) Typ-I-Diabetes. Adipositas und Insulinresistenz scheinen eine wesentlichste Rolle für die Fettleberentstehung bei Typ-II-Diabetes-Patienten zu sein.
  • Schwangerschaftsfettleber

Morphologie der Fettleber
Die Fettleber ist makroskopisch vergrößert, gelblich verfärbt und zeigt einen abgerundeten Leberrand.

Bearbeiter: Thomas Longerich
Letzte Änderung: 13.07.2024

Kurs Allgemeinpathologie

INF224

  5.2 Erworbene Stoffwechselstörungen  

Bilder (3)

A91 Fettleber

Abb. 412: Portalfelder (zentral), umgebend Lebergewebe mit grobtropfiger Verfettung.


A91 Fettleber

Abb. 413: Grob- und feintropfige Verfettung (Detail).

5 Stoffwechselstörungen - Skript

5.2 Erworbene Stoffwechselstörungen - Weitere Kurspräparate

Related articles