UniHD


A07: Amyloidose der Leber


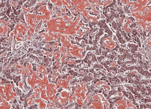
Histologie

  • Organdiagnose: Leber
  • Ablagerungen von eosinophilem, homogenen Material in den Gefäßwänden und Sinusoiden
  • Polarisationsmikroskopisch: Doppelbrechung mit grüner Polarisationsfarbe

Kurspräparat

Vorkommen
Eine hepatischer Beteiligung bei Amyloidose wird in etwa einem Fünftel der Patienten mit AA-Amyloidose und etwa der Hälfte der Personen mit einer AL-Amyloidose nachgewiesen. Sehr häufig ist der Leberbefall bei der erblichen Apolipoprotein A1-Amyloidose.

Symptomatik
Klinisch überwiegt eine ausgeprägte Hepatomegalie. Später entwickelt sich in den meisten Fällen auch eine Splenomegalie. Leberenzyme und Leberwerte bleiben normal oder weichen nur geringfügig von der Norm ab. Ein Ikterus und eine portale Hypertension treten in den späten Phasen auf und sind Zeichen des chronischen Leberversagens sowie einer schlechte Prognose. Häufig sind rötlich-braune Hautverfärbungen.

Therapie
Voraussetzung für die Therapie ist die histologische Diagnosesicherung. Weitere Hinweise hierfür können die Begleitumstände (Komorbidität, Herkunft, Laborbefunde, Familienanamnese), die Anamnese und die klinische Manifestation geben. Aufgrund der unterschiedlichen therapeutischen Konsequenzen ist es erforderlich, das ursächliche Protein eindeutig zu identifizieren (Subtypisierung).

Prognose Die Prognose von Amyloidosepatienten ist schlecht. Bei der AL-Amyloidose überleben weniger als 20% der Patienten fünf Jahre. Im Mittel beträgt die Überlebenszeit nur 1-2 Jahre. Die Prognose ist im Wesentlichen abhängig von der Nieren- und der Herzbeteiligung. Der Leberbefall verschlechtert die Prognose bei portaler Hypertension und Leberinsuffizienz. Therapeutisch steht die Behandlung der Grunderkrankung im Mittelpunkt. Es kann jedoch auch die medikamentöse Mobilisierung der Amyloid-Ablagerungen versucht werden. Bei hereditärer Amyloidose mit Bildung des amyloidogenen Proteins in der Leber kann die Indikation für eine Lebertransplantation gegeben sein.

Bearbeiter: Thomas Longerich
Letzte Änderung: 13.07.2024

Kurs Allgemeinpathologie

INF224

  5.3 Gewebsblagerungen  

Bilder (3)

A07 Amyloidose der Leber

Abb. 398: Ablagerung eosinophilen, hyalinen Materials in den Gefäßwänden und Sinusoiden. Atrophie der Hepatozyten.

5 Stoffwechselstörungen - Skript

5.3 Gewebsblagerungen - Weitere Kurspräparate

Related articles