UniHD


A09: Amyloidnephrose


Histologie:
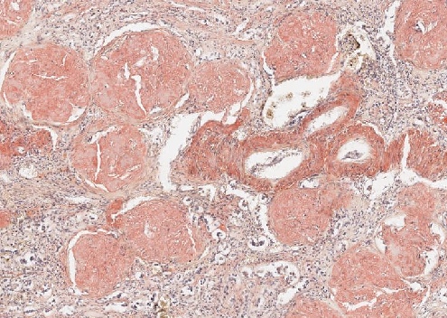
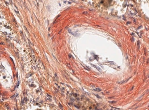
  • Organdiagnose: Niere
  • Bandförmige Einlagerung von homogenem, eosinophilen Material (=Amyloid) in Glomerulusschlingen subendothelial und in Gefäßwänden
  • Atrophie der Tubuli
  • Hyaline Zylinder (Eiweißausgüsse) in den Harnkanälchen als Zeichen einer Albuminurie erkennbar
  • Sicherung der Diagnose durch Kongorot-Färbung: grüne Doppelbrechung der kongophilen Substanz (Amyloid) im polarisierten Licht

Kurspräparat

Nierenbeteiligung bei primärer und sekundärer Amyloidose
Die klinische Symptomatik der Amyloidnephrose bei primärer Amyloidose hängt von der Lokalisation der Amyloidablagerungen ab. Meistens stehen glomeruläre Ablagerungen im Vordergrund und es kommt zu einer nephrotischen Proteinurie mit Ödemen. Im nephrotischen Sediment fehlen Entzündungszeichen, eine Niereninsuffizienz kann bereits eingetreten sein.
Bei sekundären Amyloidoseformen steht oft eine vaskuläre Amyloidose im Vordergrund. Klinisch kommt es zu einer Nierenfunktionseinschränkung, die Proteinurie ist gering. Selten sind Tubulusfunktionsstörungen, die zu einer renalen tubuläre Azidose oder einem nephrogenen Diabetes insipidus führen können. Granuläre Leichtkettenablagerungen bei sekundärer Amyloidose gehen mit weniger Proteinurie und geringerer Einschränkung der Nierenfunktion einher. Histologisch erinnert sie an die diabetische noduläre Glomerulosklerose.

Bearbeiter: Thomas Longerich
Letzte Änderung: 9.07.2024

Kurs Allgemeinpathologie

INF224

  5.3 Gewebsblagerungen  

Bilder (3)

A09 Amyloidnephrose

Abb. 399: Vaskuläre Amyloidablagerungen in der Media.


A09 Amyloidnephrose

Abb. 400: Glomeruläre Amyloidablagerungen.


A09 Amyloidnephrose

Abb. 401: Gefäßverdickung und interstitielle Fibrose.


A09 Amyloidnephrose

Abb. 402: Interstitielle Fibrose und Tubulusatrophie.

5 Stoffwechselstörungen - Skript

5.3 Gewebsblagerungen - Weitere Kurspräparate

Related articles