UniHD


A20: Gichttophus


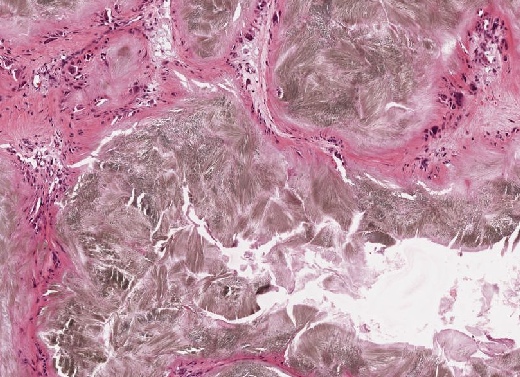
Histologie:
  • Organdiagnose: Haut bzw. Unterhautfettgewebe besonders in Sehnen oder Knorpelnähe
  • “Wolkiges”, z.T. pigmentiertes Fremdmaterial (Uratkristalle)
  • In der Umgebung Granulationsgewebe mit ungeordneten mehrkernigen Riesenzellen (Fremdkörpertyp), Granulozyten, Lymphozyten und Histiozyten.

Kurspräparat

Lokalisation
Gichttophi bilden sich unter der Haut an gelenknahen Sehnen oder Knorpeln (Händen, Ellenbögen und Füße) in Form kleiner Knötchen. Gichttophi sind schmerzlos, derb und können bis zu einen Zentimeter groß werden. Häufig entstehen Gichttophi auch am Außenrand der Ohrmuschel.

Akuter Gichtanfall
Vom akuten Gichtanfall sind häufig die Großzehengrundgelenke betroffen, man spricht dann von Podagra. Weitere Prädilektionsstellen sind die Sprunggelenke oder andere große Gelenke. Zu einem akuten Gichtanfall kann es nach schweren Mahlzeiten und Alkoholgenuss kommen. Das purinreiche Essen und die Hemmung der Harnsäureausscheidung durch den Alkohol bewirken einen plötzlichen Anstieg der Harnsäurewerte im Blut. Die scharfkantigen Harnsäurekristalle, die sich meistens schon länger in einem Gelenk gesammelt haben, reizen es schließlich so stark, das es sich entzündet.

Verlauf eines Gichtanfalls
Die Entzündung führt zu einer Anschwellung und starken Schmerzen im betroffenen Gelenk. Die Haut über dem Gelenk ist entzündlich gerötet und gespannt. Die betroffene Extremität ist in ihrer Funktion stark eingeschränkt. Bei Befall der Großzehe ist das Laufen kaum noch möglich, außer humpelnd auf den Fersen.

Allgemeinsymptome
Das Allgemeinbefinden ist beim akuten Gichtanfall stark beeinträchtigt. Die Patienten fühlen sich richtig krank. Fieber, beschleunigter Puls, Erbrechen und in vielen Fällen auch Kopfschmerzen sind häufige Begleiterscheinungen. Ein akuter Gichtanfall dauert meistens etwa drei Tage, dann klingt er wieder ab.

Chronische Gicht
Diese Verlaufsform ist selten und tritt nur bei unzureichender Behandlung der Gicht auf. Es kommt zu einer ständigen Schmerzhaftigkeit und Entzündung unabhängig von akuten Gichtanfällen. Die Funktion der betroffenen Gelenke ist stark eingeschränkt. Röntgenologisch sind die Gelenke stark verändert. Sowohl der Gelenkknorpel als auch im späteren Verlauf die Knochen können betroffen sein. In diesem Stadium sind die Veränderungen nur partiell reversibel und können prothetischen Ersatz (z.B. künstliches Kniegelenk) erfordern.

Link zu Pathogenese und Klinik der Gicht

Bearbeiter: Thomas Longerich
Letzte Änderung: 13.07.2024

Kurs Allgemeinpathologie

INF224

  5.2 Erworbene Stoffwechselstörungen  

Bilder (3)

A20 Gichttophus

Abb. 403: Uratkristalle und Fremdkörperreaktion.


A20 Gichttophus

Abb. 404: Pigmentiertes Material (Urat) mit umbegender Fibrose.


A20 Gichttophus

Abb. 405: Fremdkörperreaktion (Detail)

5 Stoffwechselstörungen - Skript

5.2 Erworbene Stoffwechselstörungen - Weitere Kurspräparate

Related articles