UniHD


A49: Morbus Wilson


Histologie
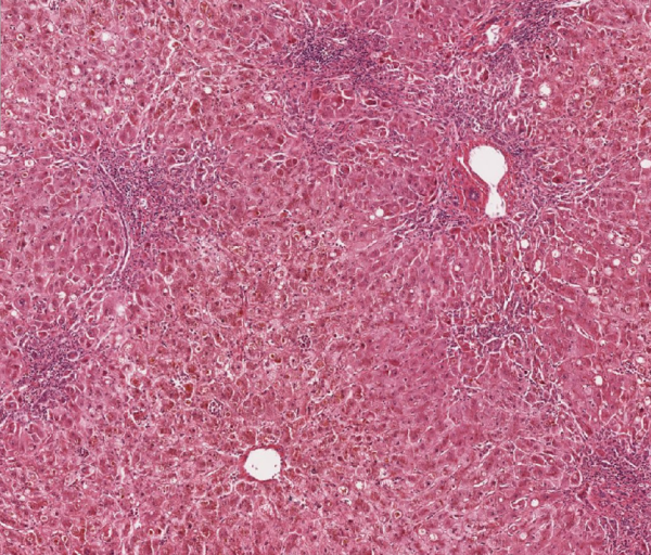
  • Lebergewebe mit nodulärem Parenchymumbau
  • Ausbildung bindegewebiger porto-portaler Septen bei teilweise noch erhaltene Zentralvenen (inkomplette Zirrhose)
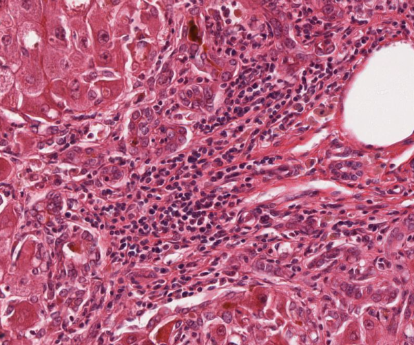
  • duktuläre Reaktion (reaktiv)
  • Metallothionein-Immunhistologie: diffus positiv
  • Rhodaninfärbung: histochemischer Nachweis der Kupferablagerungen (nur bei fortgeschrittener Fibrose/Zirrhose diagnostisch nutzbar)

Kurspräparat

Hintergrund
  • Autosomal rezessiv vererbter Defekt des ATP7B-Gens, das eine Kupfer-transportierende ATPase codiert.
  • ATP7B transportiert Kupfer aus den Hepatozyten in die Galle, damit es über den Darm ausgeschieden werden kann.
  • Inzidenz populationsabhängig zwischen 1:30.000 und 1:300.000

Betroffene Organe
Aufgrund der fehlerhaften Elimination akkumuliert Kupfer in Hepatozyten, Zellen des zentralen Nervensystems und im Auge. Der Anstieg der intrazellulären Kupferkonzentration ist für die Zelle toxisch. Daher wird im Rahmen der zellulären Adaptation die Expression von Metallothionein induziert und das potentiell zytotoxische Metalle komplexiert. Diese Expressionsinduktion ist immunhistologisch nachweisbar und kann daher für die Diagnose eines Morbus Wilson genutzt werden.
Die Leberbeteiligung des Morbus Wilson hat eine interindividuell variable Ausprägung und reicht von einer Leberzellverfettung über eine Steatohepatitis bis hin zur Leberzirrhose. Manche Patienten entwickeln auch ein akutes Leberversagen.
Am Auge ist der Kayser-Fleischer-Kornealring ein charakteristisches Symptom des M. Wilson. Kupfer kann jedoch auch in der Linse einlagern und einen Katarakt auslösen.
Häufig ist auch das ZNS betroffen, die Patienten entwickeln motorische Störungen, können jedoch auch über Depressionen oder Psychosen auffallen.

Therapie
  • Komplexbildner (Chelatbildner, z.B. Penicillamin) zur Bindung des Kupfers im Blut. Die Ausscheidung erfolgt über die Niere
  • Hemmung der enteralen Aufnahme des Kupfers aus der Nahrung (z.B. Zinkpräparate)
  • Lebertransplantation

Prognose
Insgesamt recht günstig, in ca. 75% der Patienten kann eine Erkrankungsprogression aufgehalten werden. Dabei besitzen die Patienten mit führender Leberschädigung eine bessere Langzeitprognose als jene mit prädominant neurologischem Schädigungsbild.

Bearbeiter: Thomas Longerich
Letzte Änderung: 13.07.2024

Kurs Allgemeinpathologie

INF224

  5.1 Angeborene Stoffwechselstörungen  

Bilder (3)

679-H

Abb. 673: Lebergewebe mit knotigem Umbau


679-H

Abb. 674: Portalfeld mit Lebervene (rechte Bildhälfte) und Ausbildung dichter Gallengangsproliferate

5 Stoffwechselstörungen - Skript

5.1 Angeborene Stoffwechselstörungen - Weitere Kurspräparate

Related articles