UniHD


A38: Extrakapilläre Glomerulonephritis


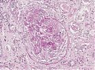
Histologie
  • Organdiagnose: Niere
  • Im Frühstadium Schlingennekrosen der Glomeruli mit Fibrinexsudation und Ausbildung extrakapillärer zellulärer “Halbmonde” des Kapselepithels
  • Im späteren Stadium Vernarbung und Verödung der geschädigten Glomeruli

Kurspräparat

Synonym
Rapid progrediente Glomerulonephritis

Ursache
Die extrakapilläre Glomerulonephritis ist eine Autoimmunerkrankung, die klinisch unter dem Bild einer rapid progredienten Glomerulonephritis verläuft. Ursächlich können gegen die glomeruläre Basalmembran (GBM) gerichtete Antikörper sein (Anti-GBM-Antikörper Glomerulonephritis). Eine extrakapilläre Glomerulonephritis kann auch durch Ablagerung von Immunkomplexen bewirkt werden (z.B. IgA-Nephritis, Lupusnephritis). Die Ablagerungen der Anti-GBM-Antikörper führt zu einem linearen Muster in der Immunfluoreszenz-Mikroskopie. Bei Immunkomplex-vermittelten Glomerulonephritiden finden sich andere, z.B. granuläre Muster. Manchmal sind die Anti-GBM-Antikörper kreuzreagierend mit den Basalmembranen von Lungenalveolen, wodurch gleichzeitig Lunge und Niere befallen sind (Goodpasture-Syndrom).

Klinik
Die extrakapilläre Glomerulonephritis führt zu einer schnell progredienten Niereninsuffizienz. Es kann hier innerhalb von Monaten zu einem terminalen Nierenversagen kommen. Aus diesem Grund ist eine frühzeitige Sicherung der Diagnose durch eine Nierenbiopsie erforderlich, um eine Therapie einzuleiten und die Progression der Erkrankung aufzuhalten. Wenn die Glomeruli histologisch bereits verödet sind, ist die Nierenfunktion in der Regel nicht zu erhalten. Beim Goodpasture-Syndrom liegt zusätzlich eine Lungenbeteiligung mit Zerstörung der Alveolen durch Autoantikörper gegen die Basalmembranen in der Lunge vor.

Bearbeiter: Thomas Longerich
Letzte Änderung: 12.07.2024

Kurs Allgemeinpathologie

INF224

  3.4 Immunpathologie  

Bilder (3)

48

Abb. 455: Schlingennekrosen der Glomeruli mit Fibrinexsudation und Ausbildung extrakapillärer zellulärer “Halbmonde” des Kapselepithels

3 Entzündungslehre - Skript

3.4 Immunpathologie - Weitere Kurspräparate

Related articles