UniHD


A42: Arteriitis temporalis


Histologie

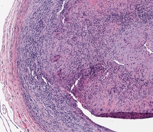
  • Organdiagnose: Arterie (Querschnitt)
  • fibrinoide Nekrose – im Bereich der Intima-Media-Grenze mit Zerstörung der Lamina elastica interna
  • Granulationsgewebe
  • entzündliches Infiltrat
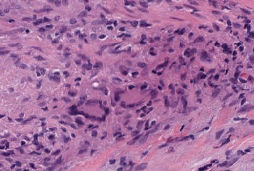
  • Riesenzellen, die sich an Bruchstücke der Elastica interna lagern

Kurspräparat

Synonym: Riesenzellarteriitis temporalis Horton

Die Arteriitis temporalis lässt sich histologisch in drei Formen einteilen, die den verschiedenen zeitlichen Stadien der Erkrankung entsprechen dürften:

Klassifikation

  1. Klassische Form
    • Intima-Media-begrenzte Myozytennekrose mit Zersplitterung der Lamina elastica interna
    • mehrkernige Riesenzellen
    • Umrahmung des Nekrosebezirks durch ein schütteres Granulationsgewebe
  2. Unspezifische Entzündungsform
    • betrifft die ganze Gefäßwand
    • beinhaltet ein dichtes Leukozyteninfiltrat
  3. Fibrosierende Form
    • reaktive Intimafibrose
    • Narben in der Lamina elastica interna & Media

Klinik

  • stark erhöhte BSG und CRP
  • pochende (Schläfen-) Kopfschmerzen, ev. Schmerzen beim Kauen
  • verhärtete, druckschmerzhafte, eventuell pulslose A. temporalis
  • Sehstörung bis hin zur Erblindung (bei Mitbeteiligung der A. ophthalmica)
  • Ca. 60% der Patienten haben zusätzlich eine Polymyalgia rheumatica

Therapie
Schon bei dringendem Verdacht auf eine Arteriitis temporalis muss aufgrund der Erblindungsgefahr sofort mit einer Steroidbehandlung begonnen werden.

Prognose
Unbehandelt kommt es in ca. 30% der Fälle zu einer Erblindung. Rezidive treten bei rund einem Drittel der Patienten auf.

Bearbeiter: Thomas Longerich
Letzte Änderung: 12.07.2024

Kurs Allgemeinpathologie

INF224

  3.4 Immunpathologie  

Bilder (3)

A42 Arteriitis temporalis

Abb. 457: Fibrinoide Nekrose mit Organisation und Zerstörung der Elastica interna


A42 Arteriitis temporalis

Abb. 458: Mehrkernige Riesenzellen (hohe Vergrößerung)

3 Entzündungslehre - Skript

3.4 Immunpathologie - Weitere Kurspräparate

Related articles