UniHD


A32b: Akute Appendizitis


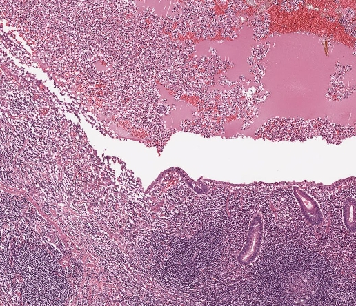
Histologie (ulzerophlegmonöse Appendizitis)

  • Organdiagnose: Appendix vermiformis
  • Breite Ulzeration der Appendixmukosa
  • Eitriges Exsudat im Lumen
  • Phlegmonöse Entzündungsinfiltrate in allen Wandschichten
  • Übergreifen der Entzündung auf das Mesenteriolum (Periappendizitis).

Kurspräparat

Klinische Korrelationen

  • Die häufigste operativ zu behandelnde Erkrankung im Bauchraum
  • Die häufigste Notfallindikation (80%) zur Laparotomie bei Kindern und Jugendlichen
  • Individuelles Risiko: 7%
  • Altersgipfel 10 – 30 J.
  • Cave: Altersappendizitis, Appendizitis während Schwangerschaft

Normale Histologie:
Sie entspricht dem Aufbau der Kolonwand: Serosa, Muscularis, Submucosa und Mucosa, in die Lymphfollikel eingelagert sind.

Mögliche Ursachen der akuten Appendizitis

  • Bakterielle Infektion
  • Kotsteine
  • Parasiten
  • Fremdkörper
  • M. Crohn
  • gut differenzierter neuroendokriner Tumor

Stadienhafte Einteilung der Appendizitis

  • Appendizitis erosiva/ulcerosa
  • Appendizitis phlegmonosa
  • Appendizitis ulcerophlegmonosa
  • Appendizitis gangraenosa
Bearbeiter: Thomas Longerich
Letzte Änderung: 12.07.2024