UniHD


A79: Aspergillus-Pneumonie


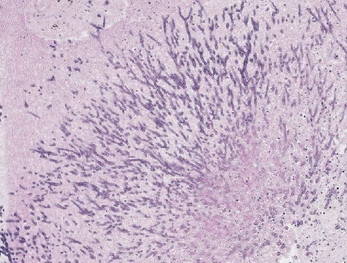
Histologie

  • Organdiagnose: Lunge
  • Wachstum (dichotom): in Form von Hyphen, die ein Myzel bilden
  • PAS-positiv
  • “Fruchtköpfchen” – sie entstehen am distalen Ende der Hyphen bei genügender Sauerstoffzufuhr
  • “Sterigmen” – sie ordnen sich kranzförmig um eine Verdickung an und können sich vereinzelt ablösen.

Kurspräparat

Die Aspergillose ist eine opportunistische Pilzerkrankung, die durch Schimmelpilze der Gattung Aspergillus hervorgerufen wird. Aspergillus produziert das Mykotoxin Aflatoxin, das z.B. an der Entstehung des hepatozellulären Karzinoms beteilig ist. Durch Inhalation der Mykobakterien kommt es zu einer Infektion der Lunge sowie der Nasennebenhöhlen. Prädisponierende Faktoren sind Alkoholismus, Diabetes mellitus, Leukopenie und Kortisontherapie. Bei immunsupprimierten Patienten (z.B. Leukämie) kann es zu einer Absiedlung in andere innere Organe kommen, die häufig letal verläuft

Je nach Abwehrlage kommt es zur nicht-invasiven (= allergische Form) oder zur invasiven (= nekrotisierende Form) der Lungenaspergillose.

  • Invasive pulmonale Aspergillose: Hier sind v.a. Patienten mit Neutropenie oder Knochenmarksaplasie betroffen. Es kommt zu einer nekrotisierenden Aspergilluspneumonie, sowie zu einem Einwachsen der Erreger in die Pulmonalarterien mit der Folge konsekutiver und hämorrhagischer Infarkte. Die Aspergillose kann sich im Organismus über den Blutweg ausbreiten und zu metastatischer Abszedierung im Gehirn und anderen Organen führen.
  • Allergische bronchopulmonale Aspergillose: Diese Erkrankung ist charakterisiert durch eine Überempfindlichkeitsreaktion gegen Aspergillusantigene vom Typ-I- und Typ-III. Morphologisch kann es zu Bronchiektasen und zur Fibrose, ggf. auch zu einer eosinophilen Herdpneumonie kommen, die sich vor allem in der Lungenperipherie abspielt.

Weiterführende Informationen, englisch

Bearbeiter: Thomas Longerich
Letzte Änderung: 5.07.2024