Tag error: <txp:ps_file_count category='<txp:category2 />' /> ->  Textpattern Warning: ps_file_count tag does not exist while parsing form None on page kasuistiken
textpattern/lib/txplib_publish.php:543 trigger_error()
textpattern/lib/txplib_publish.php:429 processTags()
textpattern/publish/taghandlers.php:2148 parse()
if_individual_article()
textpattern/vendors/Textpattern/Tag/Registry.php:140 call_user_func()
textpattern/lib/txplib_publish.php:540 Textpattern\Tag\Registry->process()
textpattern/lib/txplib_publish.php:429 processTags()
textpattern/publish/taghandlers.php:2536 parse()
if_category()
textpattern/vendors/Textpattern/Tag/Registry.php:140 call_user_func()
HeiCuDent Kasuistik Nr. 5: 65-jährige Patientin mit pulmonalem Rundherd | el-IPH · Kasuistiken HeiCuDent
 
UniHD


HeiCuDent Kasuistik Nr. 5: 65-jährige Patientin mit pulmonalem Rundherd



Klinik

Anamnese
- 65-jährige Patientin
- Bekannte chronische Polyarthritis mit Methotrexat Therapie
- Aktuell Reizhusten
- Keine B-Symptomatik
- Raucheranamnese: 5 PY

Klinischer Befund
- Unauffällige Lungenfunktionsanalyse

Bildgebung

Computertomographie Thorax

2 pleuraständige Raumforderungen im rechten Unterlappen

Klinische Differentialdiagnosen
- Maligner Tumor (z.B. Lungenkarzinom, Metastasen,…)
- Benigner Tumor (Hamartom, Leiomyom,…)
- Entzündlicher Befund (Granulom, Abszess,…)
- Sonstige (Lungeninfarkt, Mukozele,…)

Klinisches Vorgehen
- Thorakotomie rechts mit atypischer Keilresektiom im Segment 8

Pathologie

Makroskopie
8,5 × 2,5 × 2 cm großes Lungenkeilresektat mit einem scharf begrenzten, nekrotisch zerfallenden und max. ca. 3,5 cm großem Herdbefund.

Färbungen
- Hämatoxylin und Eosin (HE)

Virtuelle Mikroskopie

Auflösung und Besprechung der Kasuistik am 7. Kurstag HeiCuDent

Bearbeiter:

Kasuistiken HeiCuDent

Pathofälle

  Kasuistiken HeiCuDent  

Bilder

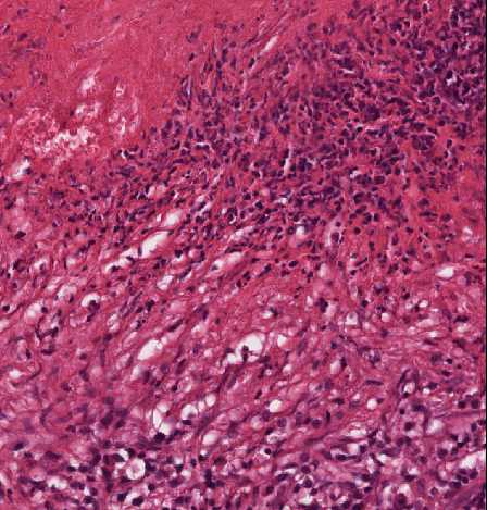
Abb. 125: Nekrose mit Zelltrümmern und granulozytärem Demarkationssaum

Kasuistiken - weitere Kasuistiken

Keine weiteren Kasuistiken.

Kasuistiken - Literatur

Organpathologie-Atlas