Tag error: <txp:ps_file_count category='<txp:category2 />' /> ->  Textpattern Warning: ps_file_count tag does not exist while parsing form None on page kasuistiken
textpattern/lib/txplib_publish.php:543 trigger_error()
textpattern/lib/txplib_publish.php:429 processTags()
textpattern/publish/taghandlers.php:2148 parse()
if_individual_article()
textpattern/vendors/Textpattern/Tag/Registry.php:140 call_user_func()
textpattern/lib/txplib_publish.php:540 Textpattern\Tag\Registry->process()
textpattern/lib/txplib_publish.php:429 processTags()
textpattern/publish/taghandlers.php:2536 parse()
if_category()
textpattern/vendors/Textpattern/Tag/Registry.php:140 call_user_func()
HeiCuDent Kasuistik Nr. 6: 59-jähriger Patient mit suspekter Läsion der Parotis | el-IPH · Kasuistiken HeiCuDent
 
UniHD


HeiCuDent Kasuistik Nr. 6: 59-jähriger Patient mit suspekter Läsion der Parotis



Klinik

Anamnese
- 59-jähriger Patient
- Bekanntes malignes Melanom, Hüfte rechts (ED 2019)

Klinischer Befund
- Tastsuspekte Läsion intraparotideal, links

Bildgebung

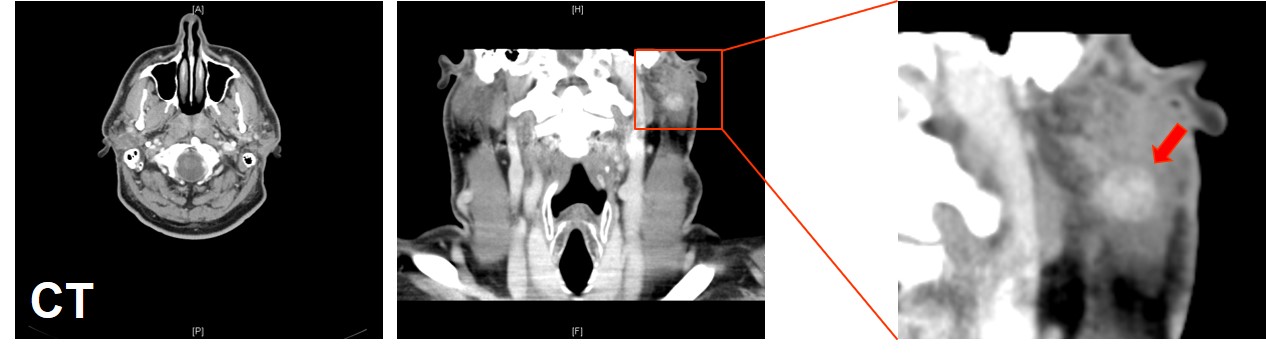
Computertomographie Kopf-Hals

Suspekte Läsion intraparotideal, links

Klinische Differentialdiagnosen
- Metastase eines malignen Melanoms
- Intraparotidealer Lymphknoten
- Primärer Speicheldrüsentumor

Klinisches Vorgehen
- Parotidektomie (links) zur histologischen Sicherung der suspekten Läsion

Pathologie

Makroskopie
Zwei zusammen 3,0 × 4,1 × 2,6 cm messende Exzisate. Auf den Schnittflächen eines Exzisats zeigt sich eine ca. 1,5 cm durchmessende, rundliche und scharf begrenzte Läsion mit beige-brauner Schnittfläche.

Färbungen
- Hämatoxylin und Eosin (HE)

Virtuelle Mikroskopie

Auflösung und Besprechung der Kasuistik am 8. Kurstag HeiCuDent

Bearbeiter:

Kasuistiken HeiCuDent

Pathofälle

  Kasuistiken HeiCuDent  

Kasuistiken - weitere Kasuistiken

Keine weiteren Kasuistiken.

Kasuistiken - Literatur

Organpathologie-Atlas