Tag error: <txp:ps_file_count category='<txp:category2 />' /> -> Textpattern Warning: ps_file_count tag does not exist while parsing form None on page kasuistiken
textpattern/lib/txplib_publish.php:543 trigger_error()
textpattern/lib/txplib_publish.php:429 processTags()
textpattern/publish/taghandlers.php:2148 parse()
if_individual_article()
textpattern/vendors/Textpattern/Tag/Registry.php:140 call_user_func()
textpattern/lib/txplib_publish.php:540 Textpattern\Tag\Registry->process()
textpattern/lib/txplib_publish.php:429 processTags()
textpattern/publish/taghandlers.php:2536 parse()
if_category()
textpattern/vendors/Textpattern/Tag/Registry.php:140 call_user_func()
Klinik
Anamnese
- 60-jährige Patientin
- Akute, progrediente Schmerzen im linken Unterbauch
- Fieber
- Z.n. nach empirischer Antibiose ohne Besserung der Symptomatik
Klinischer Befund
- Lokalisierte Abwehrspannung im linken Unterbauch
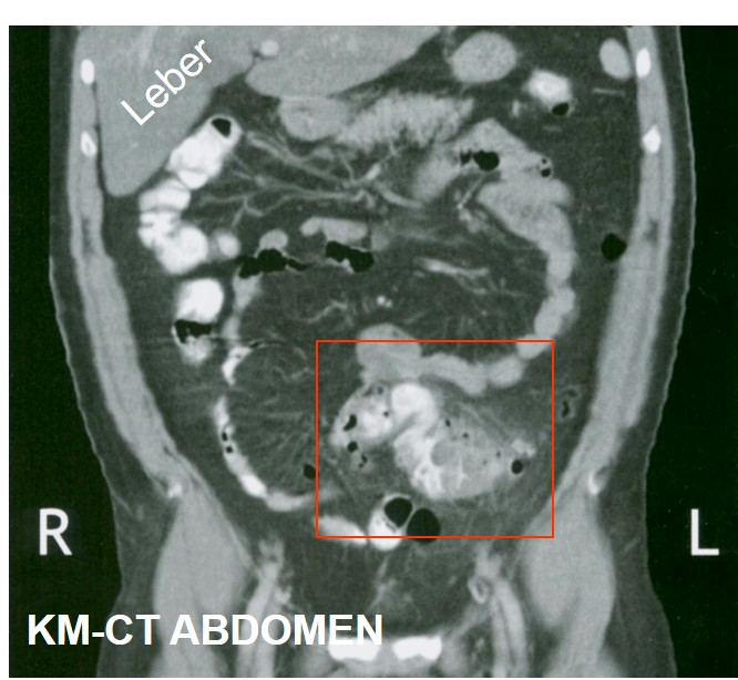
Bildgebung
Computertomographie Abdomen
Wandverdickung und Lumeneinengung des Sigma
Klinische Differentialdiagnosen
- Divertikulitis
- Chronischer Entzündlicher Prozess (z.B. Colitis Ulcerosa)
- Ischämische Kolitis
- Kolorektales Karzinom
Klinisches Vorgehen
- Sigmaresektion
Pathologie
Makroskopie

Färbungen
- Hämatoxylin und Eosin (HE)
Virtuelle Mikroskopie
Auflösung und Besprechung der Kasuistik am 6. Kurstag HeiCuDent
Kasuistiken - weitere Kasuistiken
Keine weiteren Kasuistiken.
Kasuistiken - Literatur
Organpathologie-Atlas