Tag error: <txp:ps_file_count category='<txp:category2 />' /> ->  Textpattern Warning: ps_file_count tag does not exist while parsing form None on page kasuistiken
textpattern/lib/txplib_publish.php:543 trigger_error()
textpattern/lib/txplib_publish.php:429 processTags()
textpattern/publish/taghandlers.php:2148 parse()
if_individual_article()
textpattern/vendors/Textpattern/Tag/Registry.php:140 call_user_func()
textpattern/lib/txplib_publish.php:540 Textpattern\Tag\Registry->process()
textpattern/lib/txplib_publish.php:429 processTags()
textpattern/publish/taghandlers.php:2536 parse()
if_category()
textpattern/vendors/Textpattern/Tag/Registry.php:140 call_user_func()
HeiCuDent Kasuistik Nr. 9: Obduktion eines 70-jährigen Patienten mit COVID-Infektion | el-IPH · Kasuistiken HeiCuDent
 
UniHD


HeiCuDent Kasuistik Nr. 9: Obduktion eines 70-jährigen Patienten mit COVID-Infektion



Klinik

Anamnese
- Adipöser, 70-jähriger Patientin
- Erkältungssymptomatik mit Fieber
- SARS-CoV-2 PCR-Nachweis
- V. a. Pneumonie

Bildgebung

Klinischer Verlauf
- Initiale Behandlung auf der Normalstation
- Verlegung auf Intensivstation und Intubation bei zunehmender respiratorischer Verschlechterung
- Anlage einer extrakorporalen Membranoxygenierung (ECMO)
- Patient verstirbt im Verlauf trotz maximaler Therapieeskalation
- Obduktion im pathologischen Institut

Pathologie

Hauptbefunde Obduktion
- Adipositas Grad 2
- Zeichen der arteriellen Hypertonie
- Allgemeine und koronararterielle Atherosklerose
- Lungen schwer und konsistenzvermehrt

Makroskopischer Aspekt der lamellierten Lungen.

Färbungen
- Hämatoxylin und Eosin (HE)
- Periodic acid–Schiff Reaktion (PAS)

Virtuelle Mikroskopie

Auflösung und Besprechung der Kasuistik am 11. Kurstag HeiCuDent

Bearbeiter:

Kasuistiken HeiCuDent

Pathofälle

  Kasuistiken HeiCuDent  >>

Bilder

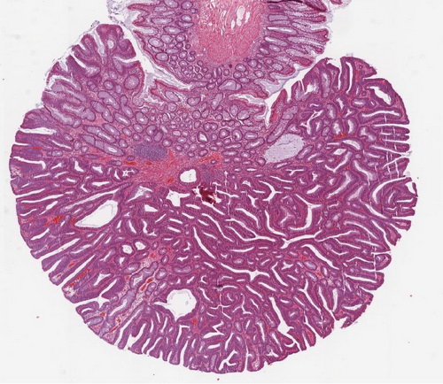
Abb. 507: Adenom bei FAP


501

Abb. 511: Makroskopischer Aspekt des Kolon nach Aufschneiden und Formalinfixation (in Höhe des Colon ascendens). Multiple Polypen.

Kasuistiken - weitere Kasuistiken

Keine weiteren Kasuistiken.

Kasuistiken - Literatur

Organpathologie-Atlas