Tag error: <txp:ps_file_count category='<txp:category2 />' /> ->  Textpattern Warning: ps_file_count tag does not exist while parsing form None on page kasuistiken
textpattern/lib/txplib_publish.php:543 trigger_error()
textpattern/lib/txplib_publish.php:429 processTags()
textpattern/publish/taghandlers.php:2148 parse()
if_individual_article()
textpattern/vendors/Textpattern/Tag/Registry.php:140 call_user_func()
textpattern/lib/txplib_publish.php:540 Textpattern\Tag\Registry->process()
textpattern/lib/txplib_publish.php:429 processTags()
textpattern/publish/taghandlers.php:2536 parse()
if_category()
textpattern/vendors/Textpattern/Tag/Registry.php:140 call_user_func()
HeiCuDent Kasuistik Nr. 11: 42-jähriger Patient mit zystischer Raumforderung am Kieferwinkel | el-IPH · Kasuistiken HeiCuDent
 
UniHD


HeiCuDent Kasuistik Nr. 11: 42-jähriger Patient mit zystischer Raumforderung am Kieferwinkel



Klinik

Anamnese
- 42-jähriger Patient
- Eitriger Geschmack seit ca. 3 Monaten
- Druckgefühl im Unterkiefer links
- Keine Symptomkontrolle nach empirischer Antibiose

Klinischer Befund
- Läsion im Unterkiefer links mit eitrigem Ausfluss intraoral

Bildgebung

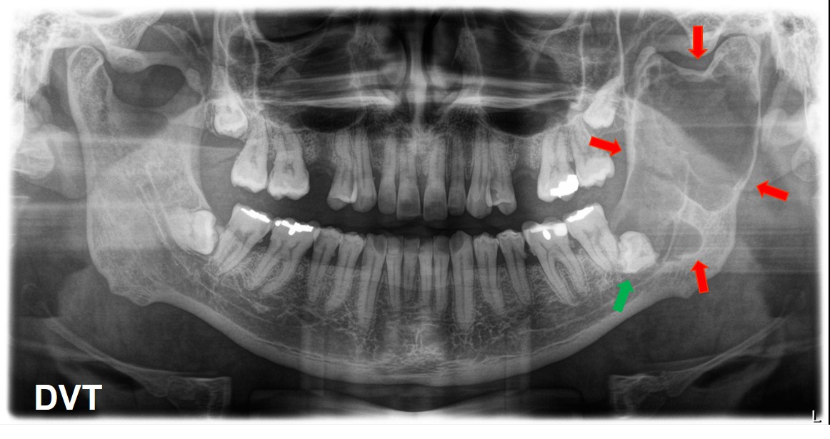
Digitale Volumentomographie

- Zystische Raumforderung im linken Kieferwinkel (rot)
- Assoziation mit retiniertem Zahn (grün)

Klinische Differentialdiagnosen
- Follikuläre Zyste
- Keratozyste
- Ameloblastom

Klinisches Vorgehen
- Zystenausschälung (Zystektomie)

Pathologie

Makroskopie

Zahlreiche, zusammen 4,2 × 2,9 × 1,3 cm messende, teils membranartige, grau-bräunliche, prall-elastische Gewebsfragmente sowie ein 1,5 × 1,1 × 0,7 cm messender Zahn. Das Weichgewebe vollständig eingebettet, der Zahn asserviert.

Färbungen
- Hämatoxylin und Eosin (HE)

Virtuelle Mikroskopie

Auflösung und Besprechung der Kasuistik am 13. Kurstag HeiCuDent

Bearbeiter:

Kasuistiken HeiCuDent

Pathofälle

  Kasuistiken HeiCuDent  

Kasuistiken - weitere Kasuistiken

Keine weiteren Kasuistiken.

Kasuistiken - Literatur

Organpathologie-Atlas