UniHD


Z012: Nierenabszess


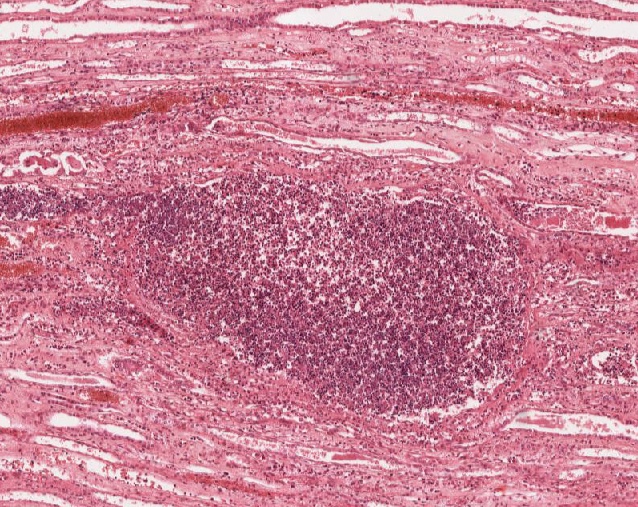
Niere mit multiplen Abszessen bei Septikopyämie.

Pathophysiologie und Klinik
Am häufigsten werden Nierenabszesse von gramnegativen Bakterien ausgelöst. Diese entstehe entweder hämatogen (septisch) oder im Rahmen von aszendierenden Infektionen der Niere. Begünstigt wird der Nierenabszess auch durch Nephrolithiasis. Bei dem Patienten tritt Fieber, Schüttelfrost, Flankenschmerzen, Gewichtsverlust und allgemeines Krankheitsgefühl auf. Makroskopisch findet sich ein geschwollenes Organ mit mehrere kleine Eiterherde in der Nierenrinde.

Histologie
Kleine Herde mit neutrophilen Granulozyten und Gewebseinschmelzung, Bakterien nicht angefärbt.

Kurspräparat

Bearbeiter: Peter Sinn
Letzte Änderung: 5.03.2017

Pathologie für Zahnmediziner

zahn

  3.1 Akute Entzündung  

Bilder

Z012

Abb. 611: Umschriebene eitrige Gewebseinschmelzung im Nierenmark

3.1 Akute Entzündung - Weitere Kurspräparate

Related articles