UniHD


09: Tuberkulöse Meningitis


Morphologie
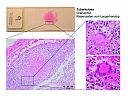
Die entzündlichen Veränderungen betreffen vorwiegend die basalen Zisternen unter Einschluss der Sehnerven, der Infundibularregion, der Hirnschenkel und der Brücke. Mikroskopisch finden sich verkäsende Granulome mit dichtliegenden Epitheloidzellen, Langhans-Riesenzellen (v.a. an den Nekroserändern) und entzündlichen Infiltraten (Lymphozyten, neutrophile Granulozyten). Die Gefäße können in Form einer Arteriitis und einer Thrombophlebitis mitbeteiligt sein. Tuberkulome können sich ebenfalls aus verkäsenden Granulomen bilden. Zentral bestehen diese aus einer Verkäsung, die von Epitheloidzellen und einem entzündlichen Infiltrat (in geringerem Ausmaß als bei der Meningitis) ungeben sind. Weiterhin kann es zu einer ausgeprägten Bindegewebskapselbildung mit Kapillarproliferation kommen.

Kurspräparat

Klinische Korrelation
Die tuberkulöse Meningitis/Meningoenzephalitis wird durch das Mycobacterium tuberculosis hominis und zunehmend auch durch atypische Mykobakterien verursacht. Die Morbiditätsinzidenz wird auf 2 pro 100000 Einwohner pro Jahr geschätzt. Ausgehend von kleinen meningealen, an der Hirnoberfläche oder an Gefäßwänden und im Plexus chorioideus gelegenen kleinen verkäsenden Granulomen (sog. Rich-Fokus) kommt es später je nach Immunitätslage zum Einbruch in den Subarachnoidalraum. Die Granulome entstehen durch hämatogene Streuung bei Miliartuberkulose oder chronischer Organtuberkulose. Der Liquor zeigt eine ausgeprägte, gemischte Pleozytose mit Eiweißerhöhung und Zuckererniedrigung, der Erregernachweis wird mittels Ziehl-Neelsen-Färbung, Immunhistologie und PCR durchgeführt. Die Letalität unter tuberkulostatischer Therapie liegt bei 15%-40%. In 30%-45% der Fälle verbleiben neurologische Residuen wie Hydrozephalus (z.B. infolge einer Ependymitis granularis oder eines Aquäduktverschlusses), Hemiparesen, Hirnnervenausfälle und epileptische Anfälle.

Bearbeiter: Philipp Sievers
Letzte Änderung: 5.03.2017

Neuropathologie

brain

  Entzündliche Erkrankungen  

Bilder zum Präparat

Tuberkulose

Abb. 43: Tuberkulose: Granulome. Riesenzellen vom Langhanstyp.

Entzündliche Erkrankungen - Weitere Kurspräparate

Related articles