UniHD


06a: Morbus Parkinson - Substantia nigra


Morphologie
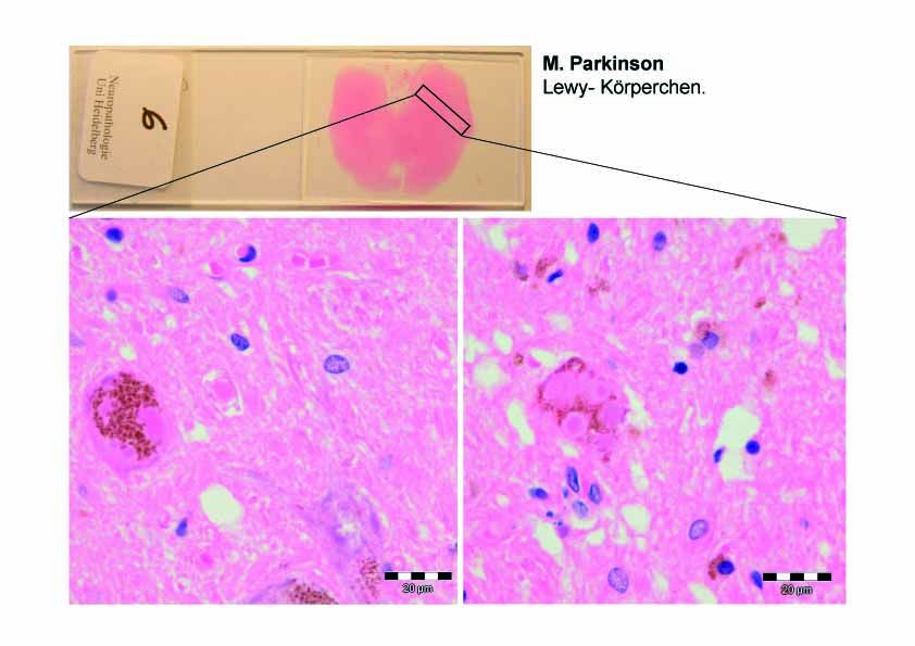
Makroskopisch erkennt man eine Abblassung bis hin zum Pigmentverlust der Substantia nigra, des Locus coeruleus und anderer pigmentierter Kerngebiete. Histologisch zeigt sich ein ausgeprägter Untergang neuromelaninhaltiger dopaminerger Nervenzellen in der Zona compacta der Substantia nigra, frei im Neuropil liegendes Neuromelanin (sog. Pigmentinkontinenz), Phagocytose von Neuromelanin durch Makrophagen sowie neuronale Lewy-Körperchen (kreisrunde eosinophile Zytoplasmaeinschlüsse, bestehend aus Neurofilamenthaufen und dem Stressprotein Ubiquitin).

Lewy bodies


Lewy bodies im HE


Immunhistochemie mit anti-alpha-Synuclein – Lewy bodies


Klinische Korrelation
Die klinische Symptomatik des M. Parkinson (Paralysis agitans) ist in der Initialphase gekennzeichnet durch Ruhetremor, Rigor und Akinese mit Gliederschmerzen und Verstimmungszuständen. In der Spätphase zeigt sich eine Verarmung an Ausdrucks- und Mitbewegungen, Retro- und Propulsionsbewegungen sowie des Speichelflusses. In 30% d. F. findet sich eine Demenz, in 20% d. F. eine Depression. Ein Auftreten der Symptomatik ist bei Ausfall von 70-80% der nigrostriatalen Neurone zu erwarten. Die weltweite Prävalenz des M. Parkinson beträgt 1:300 – 1:2000. Pathogenetisch ist der Neuromelanin-Stoffwechsel und das Zytoskelett dopaminerger Nervenzellen, deren Axone zum Striatum ziehen, gestört. In der Folge kommt es zu einem Ungleichgewicht der Transmittersubstanzen zugunsten cholinerger Einflüsse.

Bearbeiter: Philipp Sievers
Letzte Änderung: 5.03.2017

Neuropathologie

brain

  Neurodegenerative Erkrankungen  

Bilder zum Präparat

M. Parkinson

Abb. 45: M. Parkinson: Lewy- Körperchen.


M. Parkinson

Abb. 46: M. Parkinson: Lewy- Körperchen.

Neurodegenerative Erkrankungen - Weitere Kurspräparate

Related articles