UniHD


19: Neurinom (WHO Grad 1)


Morphologie
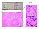
Neurinome sind scharf abgrenzbar, derb und abgekapselt. Die Schnittfläche kann weiß, grau-rosa, gelblich-gefleckt und evtl. auch zystisch erscheinen. Histologisch erkennt man Zellzüge mit bipolaren, länglichen oder geschlängelten Kernen und langen Zellfortsätzen. Zwischen den Zellzügen zeigt sich fein eingewobenes Kollagen (Elastica van Gieson, Retikulinversilberung).

Kurspräparat

Man unterscheidet zwei Haupttypen:
  • Typ Antoni A: kernarme Zellfortsatzbündel alternieren mit Kernreihen (Palisadenstellung).
  • Typ Antoni B: sternförmige Tumorzellen bilden mit ihren Fortsätzen ein lockeres Geflecht aus; häufig kommen herdförmige fettige Degenerationsareale vor (Schaumzellnester).

Teilweise können einzelne pleomorphe Tumorzellkerne selten auch Nekrosen vorkommen. Beides sind aber keine Zeichen maligner Entartung. Häufig sind hingegen Hämosiderinablagerungen.

Immunhistologie
Neurinome exprimieren S100-Protein und Vimentin, aber nicht Desmoplakin (DD: Meningeom) und EMA.

Genetische und molekulargenetische Befunde
Das Neurinom ist das Hauptmerkmal der Neurofibromatose Typ 2. In bis zu 70% aller sporadischen Neurinome sind NF2-Mutationen nachweisbar.

Bearbeiter: Philipp Sievers
Letzte Änderung: 28.05.2025

Neuropathologie

brain

  Tumoren der Hüllen  >>

Bilder zum Präparat

Neurinom (WHO Grad I)

Abb. 57: Neurinom (WHO Grad I): Verocay-Körper.

Tumoren der Hüllen - Weitere Kurspräparate

Related articles