Tag error: <txp:spf_js name="jQuizMe" type="1" /> -> Textpattern Warning: spf_js tag does not exist while parsing form header on page kasuistiken
textpattern/lib/txplib_publish.php:543 trigger_error()
textpattern/lib/txplib_publish.php:429 processTags()
textpattern/publish/taghandlers.php:2609 parse()
if_section()
textpattern/vendors/Textpattern/Tag/Registry.php:140 call_user_func()
textpattern/lib/txplib_publish.php:540 Textpattern\Tag\Registry->process()
textpattern/lib/txplib_publish.php:429 processTags()
textpattern/lib/txplib_misc.php:3677 parse()
textpattern/publish/taghandlers.php:446 parse_form()
output_form()Tag error: <txp:spf_js name="bootstrap-tab" type="1" /> -> Textpattern Warning: spf_js tag does not exist while parsing form header on page kasuistiken
textpattern/lib/txplib_publish.php:543 trigger_error()
textpattern/lib/txplib_publish.php:429 processTags()
textpattern/publish/taghandlers.php:2609 parse()
if_section()
textpattern/vendors/Textpattern/Tag/Registry.php:140 call_user_func()
textpattern/lib/txplib_publish.php:540 Textpattern\Tag\Registry->process()
textpattern/lib/txplib_publish.php:429 processTags()
textpattern/lib/txplib_misc.php:3677 parse()
textpattern/publish/taghandlers.php:446 parse_form()
output_form()Tag error: <txp:ps_file_count category='<txp:category2 />' /> -> Textpattern Warning: ps_file_count tag does not exist while parsing form None on page kasuistiken
textpattern/lib/txplib_publish.php:543 trigger_error()
textpattern/lib/txplib_publish.php:429 processTags()
textpattern/publish/taghandlers.php:2148 parse()
if_individual_article()
textpattern/vendors/Textpattern/Tag/Registry.php:140 call_user_func()
textpattern/lib/txplib_publish.php:540 Textpattern\Tag\Registry->process()
textpattern/lib/txplib_publish.php:429 processTags()
textpattern/publish/taghandlers.php:2536 parse()
if_category()
textpattern/vendors/Textpattern/Tag/Registry.php:140 call_user_func()
Anamnese
Ein 78 jähriger männlicher Patient mit einer seit längerer Zeit bestehenden Raumforderung im Bereich der linken Niere und anamnestisch bekannter Mikrohämaturie. Als Vorerkrankungen bekannt sind eine benigne Prostatahyperplasie, eine Retinopathia diabetica und ein nicht primär insulinabhängiger Diabetes mellitus.
Bildgebung
Sonografie: Rechte Niere ohne pathologischen Befund; im Bereich der linken Niere zeigt sich dorsal/cranial eine solide Raumforderung, 4,5 × 4,0 cm messend; die Blase wenig gefüllt, ohne Auffälligkeiten; Prostatavolumen transvesikal bei ca. 80 ml.
MRT: Links dorsal der Niere eine 4,1 × 3,2 cm große Raumforderung, die sich mit ihren medialen Anteilen in den T2 gewichteten Aufnahmen hyperintens und nach lateral hypointens zeigt. Nach KM-Gabe zeigt die Raumforderung eine ähnliche Perfusion wie die Niere. Kein Harnaufstau. Kein Kontakt zum Nierenbecken. Regelrechte Darstellung der re. Niere. Kein Nachweis pathologisch vergrößerter Lymphknoten.


Makroskopie:
Nephrektomiepräparat (links) mit perirenalem Fettgewebe und dem Ureterstumpf. Etwa in der Mitte des Präparates, subkapsulär, gelegen ein vom Nierenparenchym ausgehender, scharf begrenzter und max. ca. 4,2 cm großer Tumor mit gelblicher Schnittfläche. Die Nierenkapsel ist makroskopisch infiltriert, der Tumor greift fokal auf das perirenale Fettgewebe über.
Virtuelle Mikroskopie
HE-Färbung
Mikroskopie:
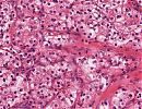
Infiltrate eines klarzelligen epithelialen Tumors mit überwiegend solidem Wachstumsmuster. Die Tumorzellen mit teils klarem und teils auch eosinophilem Zytplasma. Das Tumorstroma mit schmalen fibrösen Septen. Der Tumor infiltriert das perirenale Fettgewebe an umschriebener Stelle.
Diagnose:
Nephrektomiepräparat (links) mit einem klarzelligen Nierezellkarzinom (G2) mit Tumorinfiltration der Nierenkapsel sowie des perirenalen Fettgewebes.
Tumorklassifikation (6. Aufl.):
TNM: pT3a, pNX, V0
Grading: G2
R-Klassifikation: R0
Pathologische Befunde
Das klarzellige Nierenzellkarzinom stellt mit ca. 70% den häufigsten histologischen Subtyp der Nierenzellkarzinome dar. Makroskopisch ist das klarzellige Nierenzellkarzinom meist ein solitärer unilateraler Tumor mit gelblicher solider, seltener auch zystischer Schnittfläche und Tumornekrosen. Selten (in < 10%) kommen multifokale oder bilaterale klarzellige Nierenzellkarzinome vor, diese sind meist mit familären Syndromen, wie der Hippel-Lindau Phakomatose, assoziiert.
Das klarzellige Nierenzellkarzinom manifestiert sich als großer, scharf oder polyzyklisch begrenzter Tumor, der von der Nierenrinde ausgeht und über die Nierenoberfläche hervorragt. Der Tumor wächst gegenüber dem Nierenparenchym verdrängend, selten auch diffus infiltrierend und kann bis 15 cm groß werden. Die Tumorgröße ist kein Malignitätskriterium und auch kleine, inzidentiell entdeckte klarzellige Nierenzellkarzinome gelten als maligne.
Die Tumorzellen enthalten im Zytoplasma Lipide, die für die Klarzelligkeit des Zytoplasma im histologischen Schnitt verantwortlich sind. Der Kernmalignitätsgrad ist sehr unterschiedlich, man unterscheidet sehr hoch differenzierte klarzellige Nierenzellkarzinome mit kleinen uniformen Zellkernen (Grad 1) von Tumoren mit hoher Kernpleomorphie (Grad 3). Das mäßig differenzierte klarzellige Nierenzellkarzinom (Grad 2) weist einen intermediären Kernmalignitätsgrad auf.
Verlauf
Die Prognose ist abhängig von verschiedenen Faktoren, insbesondere dem Tumorstadium (Tumorgröße, Kapselinfiltration, Gefäßinvasion) und dem Differenzierungsgrad. Die 1-Jahres Überlebensrate nach Nephrektomie beträgt insgesamt nur 50%, bei fehlender Kapselinvasion jedoch 90% und bei Vorhandensein von Fernmetastasen ca. 30%. Die am häufigsten betroffenen Metastasenorgane sind Lunge und Knochen.
Bilder
Abb. 362: Tumorinfiltration des perirenalen Fettgewebes
Abb. 363: Tumorzellen mit hellem bis wasserklarem Zytoplasma.
Niere - Lehrtexte
Niere - weitere Kasuistiken
Related articlesNiere - Literatur
Organpathologie-Atlas