UniHD


4 Zirkulationsstörungen


Bilder zur Allgemeinpathologie

  • A23 Aneurysma dissecans

    Akute Dissektion der Aorta mit Aufspaltung der Media und frischer Einblutung
    A23 Aneurysma dissecans
  • A25 Abscheidungsthrombus

    Arteriosklerotische Veränderungen der Arterienwand mit Cholesterineinschlüssen und Desktruktion der Intima.
    A25 Abscheidungsthrombus
  • A25 Abscheidungsthrombus

    Schichtung des Abscheidungsthrombus (MGG-Färbung) aus Fibrinnetzen mit Erythrozyten (rot) und weißen Blutzellen sowie Thrombozytenlamellen (hellgrün).
    A25 Abscheidungsthrombus
  • A29 Mikroangiopathie

    Lumenobliteration kleinster intrakutaner Gefäße
    A29 Mikroangiopathie
  • A30 Schocklunge

    Überblähung der Alveolen, hyaline Membranen, Desquamation der Alveolardeckzellen
    A30 Schocklunge
  • A30 Schocklunge

    Späteres Stadium mit Atelektase und interstitieller Fibrose.
    A30 Schocklunge
  • A31 Atemnotsyndrom des Neugeborenen

    Minderbelüftete Alveolen, Überblähung terminaler Bronchioli, hyaline Membranen.
    A31 Atemnotsyndrom des Neugeborenen
  • A31 Atemnotsyndrom des Neugeborenen

    Hyaline Membranen, interstitielles Infiltrat.
    A31 Atemnotsyndrom des Neugeborenen
  • A40 Endarteriitis obliterans

    Arterieller Verschluß durch fibröse Lumenobliteration.
    A40 Endarteriitis obliterans
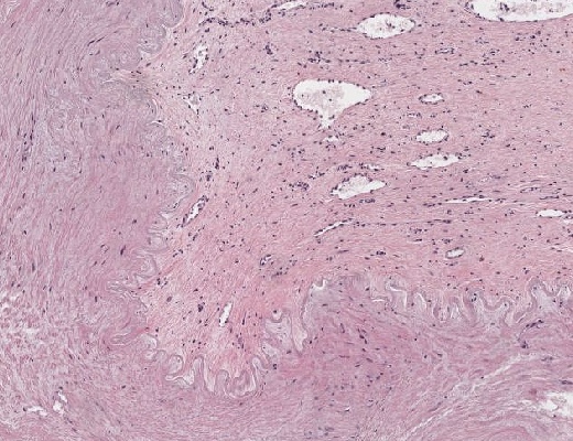
  • A40 Endarteriitis obliterans

    Arterieller Gefäßverschluß mit Rekanalisierungsphänomenen.
    A40 Endarteriitis obliterans
  • A77 Verbrauchskoagulopathie

    Hyaliner Mikrothrombus
    A77 Verbrauchskoagulopathie
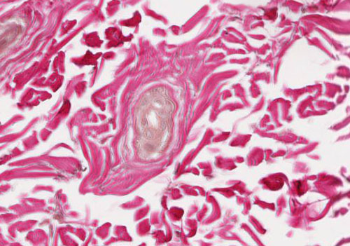
  • A87 Atherosklerose

    Breiter subintimaler fibroatheromatöser Plaque (EvG-Färbung).
    A87 Atherosklerose
  • A87 Atherosklerose

    Plaque mit Aufsplitterung der Lamamina elastica interna (EvG-Färbung).
    A87 Atherosklerose
  • A88 Koronarsklerose mit Thrombose

    Subintimaler Plaque und zentrale Thrombose (rechts). Die Media ist intakt.
    A88 Koronarsklerose mit Thrombose
  • A88 Koronarsklerose mit Thrombose

    Geschichteter koronarieller Thrombus mit Rekanalisierung.
    A88 Koronarsklerose mit Thrombose
  • A88 Koronarsklerose mit Thrombose

    Arterienwand (re.) mit aufgebrochener Plaque
    A88 Koronarsklerose mit Thrombose
  • A98 Schockniere

    Frische Tubulusnekrosen
    A98 Schockniere

Bearbeiter: Frank Bergmann