UniHD


2 Zellschädigungen


Bilder zur Allgemeinpathologie

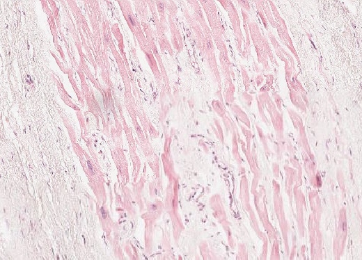
  • A03 Myokardinfarkt

    Hypereosinophilie der Kardiomyozyten, Verlust der Kernfärbbarkeit, Verlust der Querstreifung
    A03 Myokardinfarkt
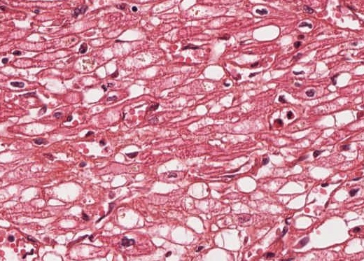
  • A03 Myokardinfarkt

    Stärkergradige Kardiomyozytolysen.
    A03 Myokardinfarkt
  • A03 Myokardinfarkt

    Fibrose und degenerative Veränderungen der Kardiomyozyten.
    A03 Myokardinfarkt
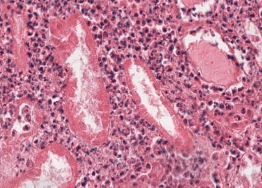
  • A26 Anämischer Niereninfarkt

    Devitalisierte Nierentubuli mit Verlust der Kernfärbbarkeit
    A26 Anämischer Niereninfarkt
  • A26 Anämischer Niereninfarkt

    Randzone des Infarktes mit entzündlicher Demarkation.
    A26 Anämischer Niereninfarkt
  • A28 Lungeninfarkt

    Devitalisiertes Lungenparenchym mit intraalveolären Einblutungen.
    A28 Lungeninfarkt
  • A28 Lungeninfarkt

    Hämorrhagischer Randsaum.
    A28 Lungeninfarkt

Bearbeiter: Frank Bergmann