-
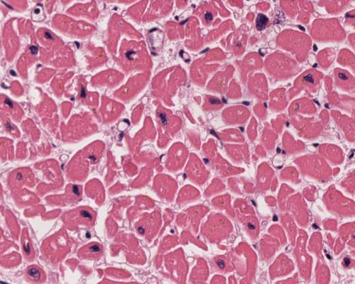
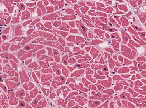
A01 Braune Atrophie (Herz)
Verschmälerung der Muskelfasern und Einlagerung von gelb-braunen Lipofuszingranula im Zytoplasma.
-
A01 Braune Atrophie (Herz)
Deutlich verminderte gesamte Breite des Myokard.
-
A01 Lipofuszingranula
Myokard bei hoher Vergrößerung (20x) mit zahlreichen Lipofuszingranula und schmalen Kardiomyozyten.
-
A02 Myokardhypertrophie
Vergrößerte Myozyten, hyperchromatische und polymorphe myokardiale Zellkerne.
-
A02 Myokardhypertrophie
Vergrößerte Myozyten, hyperchromatische und polymorphe myokardiale Zellkerne.
-
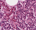
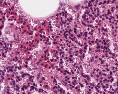
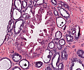
A04 Epithelkörperchenhyperplasie
Ausschnitt mit trabekulären Zellverbänden mit dunklen Hauptzellen und oxyphilen Zellen
-
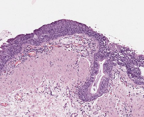
A05 Barrettösophagus
Nebeneinander reifer Plattenepithelien und intestinalen Oberflächenepithels mit Becherzellen (PAS)
-
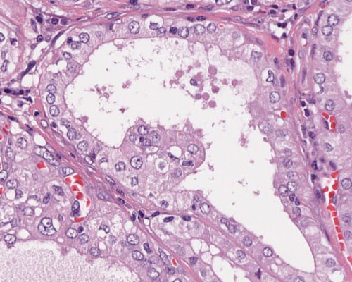
A10 Basedow-Struma
Kleiner, praktisch kolloidfreier Follikel mit hochzylindrischem Epithel und pseudopapillärer Epithelabfaltung (HE).
-
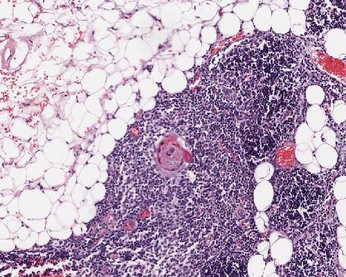
A13 Thymusatrophie
Kleine Inseln mit atrophem Thymusgewebe
-
A14 Plattenepithelmetaplasie
Unreife plattenepitheliale Metaplasie der Bronchialschleimhaut, daneben respiratorisches Epithel mit Reservezellhyperplasie.
-
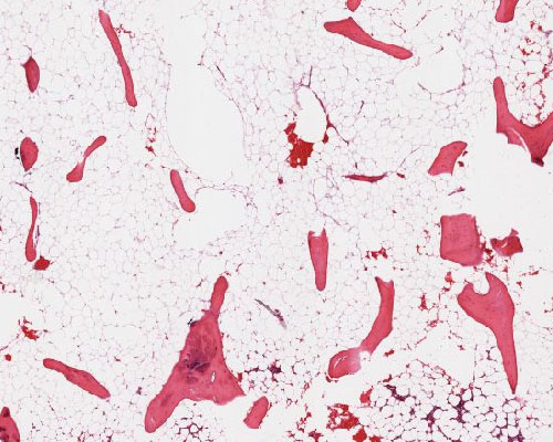
A78 Osteoporose
Schmale, deutlich ausgedünnte Trabekel, Fettmark.
-
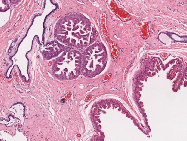
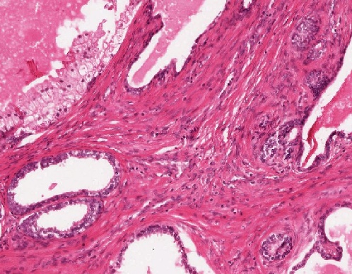
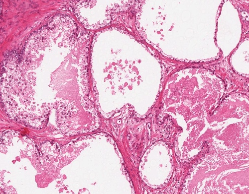
A86 Prostatahyperplasie
Vergrößerte, unterschiedlich weite Drüsen mit doppelreihigem Epithel
-
A86 Prostatahyperplasie
Verbreiterung der glatten Muskulatur und des Stromas
-
Mastopathie.png
Mammagewebe mit zystischer Aufweitung der Drüsen mit abgeflachtem Drüsenepithel (links oben) und zystischer Aufweitung des Gangepithels (rechts daneben)
-
Mastopathie1.png
Zystische Aufweitung des Gangepithels mit apokrinen Metaplasien