UniHD


Tumoren des ZNS, PNS und der Meningen


Bilder zur Neuropathologie

  • Anaplastisches Ependymom

    Anaplastisches Ependymom (WHO Grad III): Pseudorosetten.
    Anaplastisches Ependymom
  • Astrozytom WHO II

    Astrozytom WHO II: Fibrilläre Variante.
    Astrozytom WHO II
  • Astrozytom WHO II

    Astrozytom WHO II: Gemistozytäre Variante.
    Astrozytom WHO II
  • Astrozytom WHO III

    Astrozytom WHO III
    Astrozytom WHO III
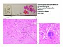
  • Glioblastom WHO IV

    Glioblastom WHO IV: Strichförmige/ flächenhafte Nekrosen. Gefäßproliferate. Pseudopalisaden der TZ
    Glioblastom WHO IV
  • Medulloblastom WHO Grad IV

    Medulloblastom (WHO Grad IV): "Blauzelliger" Tumor, wegen großer Kern/Plasma Relation. Viele Mitosen.
    Medulloblastom (WHO Grad IV)
  • Meningeom (WHO Grad I)

    Meningeom (WHO Grad I): Pseudo-synzytial oder fibrös. Lochkerne. Zwiebelschalen. Pasmmomkörper.
    Meningeom (WHO Grad I)
  • Neurinom WHO Grad I

    Neurinom (WHO Grad I): Verocay-Körper.
    Neurinom (WHO Grad I)
  • Oligodendrogliom_WHO_Grad_II

    Oligodendrogliom (WHO Grad II): Spiegelei-Erscheinungsbild der Tumorzellen.Typisches Gefäßnetz.
    Oligodendrogliom (WHO Grad II)
  • Pilozytisches Astrozytom (WHO Grad I)

    Pilozytisches Astrozytom (WHO Grad I): Grobfibrilläre Matrix, zellarm, Kernpleomorphie, Rosenthalfasern, Proteindroplets, hyalinisierte Gefäßwände.
    Pilozytisches Astrozytom (WHO Grad I)
  • Riesenzellglioblastom WHO IV

    Riesenzellglioblastom WHO IV: Erhöhte Zelldichte. Pleomorphie/Riesenzellen. Mitosen. Gefäßproliferation. Nekrosen.
    Riesenzellglioblastom WHO IV

Bearbeiter: Frank Bergmann