UniHD


5 Stoffwechselstörungen


Bilder zur Allgemeinpathologie

  • A06 Hyalinose der Milzkapsel

    Milzkapsel mit fibröser Verdickung der Kapsel.
    A06 Hyalinose der Milzkapsel
  • A06 Hyalinose der Milzkapsel

    Akute und chronischische Blutstauung mit Verbreiterung der roten Pulpa und verdicktem Trabekelwerk.
    A06 Hyalinose der Milzkapsel
  • A07 Amyloidose der Leber

    Amyloidose der Leber: Ablagerung eosinophilen, hyalinen Materials in den Gefäßwänden und Sinusoiden. Atrophie der Hepatozyten.
    A07 Amyloidose der Leber
  • A07 Amyloidose der Leber

    Ablagerung eosinophilen, hyalinen Materials in den Gefäßwänden und Sinusoiden. Atrophie der Hepatozyten.
    A07 Amyloidose der Leber
  • A09 Amyloidnephrose

    Vaskuläre Amyloidablagerungen in der Media.
    A09 Amyloidnephrose
  • A09 Amyloidnephrose

    Glomeruläre Amyloidablagerungen.
    A09 Amyloidnephrose
  • A09 Amyloidnephrose

    Gefäßverdickung und interstitielle Fibrose.
    A09 Amyloidnephrose
  • A09 Amyloidnephrose

    Interstitielle Fibrose und Tubulusatrophie.
    A09 Amyloidnephrose
  • A20 Gichttophus

    Uratkristalle und Fremdkörperreaktion.
    A20 Gichttophus
  • A20 Gichttophus

    Pigmentiertes Material (Urat) mit umbegender Fibrose.
    A20 Gichttophus
  • A20 Gichttophus

    Fremdkörperreaktion (Detail)
    A20 Gichttophus
  • A21 Hämochromatose der Leber

    Leberparencham mit Eisenablagerungen (blau) und narbiger Fibrose.
    A21 Hämochromatose der Leber
  • A21 Hämochromatose der Leber

    Eisenablagerungen (Detail)
    A21 Hämochromatose der Leber
  • A45 Placentopathia diabetica

    Plumpe, unreife Plazentazotten, intervillöses Fibrin.
    A45 Placentopathia diabetica
  • A45 Placentopathia diabetica

    Persistenz embryonaler Zotten
    A45 Placentopathia diabetica
  • A50 Alkoholtoxische Leberzirrhose

    Fettleberzirrhose mit Pseudoläppchen und ca. 50%iger, grobtropfiger Verfettung.
    A50 Alkoholtoxische Leberzirrhose
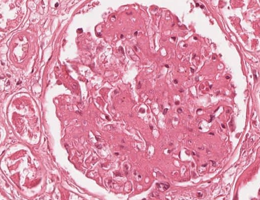
  • A85 Diabetische Nephropathie

    Noduläre Glomerulosklerose mit Ablage hyalinen Matrials in den Glomerulumschlingen.
    A85 Diabetische Nephropathie
  • A85 Diabetische Nephropathie

    Arteriolosklerose in der Nierenrinde.
    A85 Diabetische Nephropathie
  • A91 Fettleber

    Portalfelder (zentral), umgebend Lebergewebe mit grobtropfiger Verfettung.
    A91 Fettleber
  • A91 Fettleber

    Grob- und feintropfige Verfettung (Detail).
    A91 Fettleber
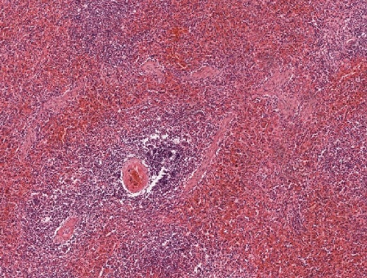
  • Amyloidose der Milz

    Diffuse Amyloidablagerungen in der roten Pulpa.
    294-H
  • Morbus Wilson.png

    Lebergewebe mit knotigem Umbau
    679-H
  • Morbus Wilson1.png

    Portalfeld mit Lebervene (rechte Bildhälfte) und Ausbildung dichter Gallengangsproliferate
    679-H

Bearbeiter: Frank Bergmann