Tag error: <txp:ps_image_count category='<txp:category />' /> ->  Textpattern Warning: ps_image_count tag does not exist while parsing form None on page atlas
textpattern/lib/txplib_publish.php:543 trigger_error()
textpattern/lib/txplib_publish.php:429 processTags()
textpattern/publish/taghandlers.php:3035 parse()
variable()
textpattern/vendors/Textpattern/Tag/Registry.php:140 call_user_func()
textpattern/lib/txplib_publish.php:540 Textpattern\Tag\Registry->process()
textpattern/lib/txplib_publish.php:429 processTags()
textpattern/publish/taghandlers.php:2927 parse()
if_different()
textpattern/vendors/Textpattern/Tag/Registry.php:140 call_user_func()
36-Lymphknoten | el-IPH · Organpathologie-Atlas
 
UniHD


36-Lymphknoten


Organpathologie » Hämatopathologie » 36-Lymphknoten

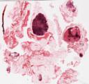
36-02: M. Hodgkin, lymphozytenreich (HE)

36-03: Sarcoid Like Lesions (HE)

36-04: TBC (HE)

36-05: Seminom (HE)

36-06: Follikuläres Lymphom (HE)

36-07: Malignes Melanom und Small Lymphocytic Lymphoma (HE)

36-08: Hyperlastisches aktiviertes ektopes SD-Parenchym (HE)

36-09: Granulomatöse part. retikulo-histiozytär abszedierende Lymphaden (HE)

36-10: Kikuchi-Lymphadenitis (HE)

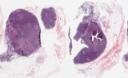
36-11a: Morbus Hodgkin, nodulär sklerosierend (HE)

36-11b: Morbus Hodgkin, nodulär sklerosierend (Giemsa)

36-12: Sarkoidose (HE)

36-13a: Angioimmunoblastisches T-Zelllymphom (HE)

36-13b: Angioimmunoblastisches T-Zelllymphom (Giemsa)

36-14: B-SLL (HE)

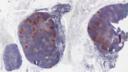
36-16a: Kryptococcus Lymphadenitis (HE)

36-16b: Kryptococcus Lymphadenitis (PAS)

36-17: Malignes Melanom und SLL (HE)

36-18: Prostatakarzinommetastase (HE)

36-20: Listeriose (PCR+), Granulomat. Entzündung LK (HE)

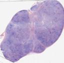
36-21a: Lymphozytenprädominantes HL (HE)

36-21b: Lymphozytenprädominantes HL (Giemsa)

36-24: Hodgkin-Lymphom vom Mischtyp (HE)

36-25a: Kikuchi-Lymphadenitis (Perforin)

36-25b: Kikuchi-Lymphadenitis (HE)

36-26: CMML (HE)

Organpathologie-Atlas

slidebox

Hämatopathologie

Suche in den Kästen: