Tag error: <txp:ps_image_count category='<txp:category />' /> ->  Textpattern Warning: ps_image_count tag does not exist while parsing form None on page atlas
textpattern/lib/txplib_publish.php:543 trigger_error()
textpattern/lib/txplib_publish.php:429 processTags()
textpattern/publish/taghandlers.php:3035 parse()
variable()
textpattern/vendors/Textpattern/Tag/Registry.php:140 call_user_func()
textpattern/lib/txplib_publish.php:540 Textpattern\Tag\Registry->process()
textpattern/lib/txplib_publish.php:429 processTags()
textpattern/publish/taghandlers.php:2927 parse()
if_different()
textpattern/vendors/Textpattern/Tag/Registry.php:140 call_user_func()
13-Lunge | el-IPH · Organpathologie-Atlas
 
UniHD


13-Lunge


Organpathologie » Respirationstrakt » 13-Lunge

13-001a: Muzinöses BAC (HE)

13-001b: Muzinöses BAC (Trichrome)

13-001c: Muzinöses BAC (PAS)

13-003: Metastatische Verkalkung (HE)

13-004: PAP SD-CA (Calcitonin)

13-005a: Cryptococcus neoformans (HE)

13-005b: Cryptococcus neoformans (PAS)

13-006a: Amyloid TM (HE)

13-006b: Amyloid TM (Kongorot)

13-007: Adenoidzystisches CA (HE)

13-008a: Silikose (HE)

13-008b: Silikose (HE)

13-009: Muzinöses BAC (HE)

13-010: Nekrotisierend fibrinös eitrige Entzündung unter Mitbeteiligung (HE)

13-011: SCLC-Nadel (HE)

13-011b: SCLC-Nadel (CD56)

13-012: Granulomatöse Peribronchitis und Eos, V.a. Churg Strauss (HE)

13-013: Karzionoid (HE)

13-014: BAC (HE)

13-015: Sarkoidose (HE)

13-016: DAD (HE)

13-017: Zerebrales Hämangioperizytom Lungenmetastase (HE)

13-018: Typisches Karzinoid (HE)

13-019: SCLC (HE)

13-020: Lunge Adeno Siegelringzellig (HE)

13-020b: Lunge Adeno Siegelringzellig (PAS)

13-021: LIP (HE)

13-022: Hochdifferenziertes Adenoca. (HE)

13-023: Adeno Ca. (HE)

13-025a: M. Wegener (HE)

13-025b: M. Wegener (EvG)

13-026: Atypisches Karzinoid (HE)

13-027a: Endokarditische Thrombembolie mit Vaskulitis (HE)

13-027b: Endokarditische Thrombembolie mit Vaskulitis (EvG)

13-028: M. Wegener (HE)

13-029: Bronchiolitis obliterans (HE)

13-030: HSV Tracheitis (HE)

13-031a: Ausgebrannte EAA (HE)

13-031b: Ausgebrannte EAA (EvG)

13-031c: Ausgebrannte EAA (HE)

13-032: Atypisches Karzinoid (HE)

13-033: OP-am ehesten med. tox (HE)

13-034: Fremdmaterial- Granulomatöse Bronchitis (EvG)

13-035: UIP (HE)

13-036: Lungeninfarkt (HE)

13-038a: BAC (HE)

13-038b: BAC (HE)

13-039: Z.n. Biopsie (HE)

13-040: Giant cell- CA (HE)

13-041: HSV-Tracheitis (HE)

13-042a: Amyloidose (HE)

13-042b: Amyloidose (Kongorot)

13-042c: Amyloidose (Kongorot)

13-042d: Amyloidose (Amyloid alpha)

13-042e: Amyloidose (Amyloid alpha)

13-042f: Amyloidose (HE)

13-043: Adeno Zyto Bürste (HE)

13-044: DAD (HE)

13-045: Extralobärer Lungensequester (HE)

13-046: COP (HE)

13-047: Echinokkuszyste (HE)

13-048: Bullöses Lungenemphysem mit plazentarer Transmogrifikation (HE)

13-049a: Amiodaron Tox. (HE)

13-049b: Amiodaron Tox. (EvG)

13-051: DAD (HE)

13-052a: NSIP (HE)

13-052b: NSIP (HE)

13-052c: NSIP (HE)

13-053: Osteosarkommetastase (Trichrome)

13-054a: Muzinöses, part. siegelringzellhaltiges Adenokarzinom (HE)

13-054b: Muzinöses, part. siegelringzellhaltiges Adenokarzinom (PAS)

13-055: Pulmonales (chondroides) Hamartom (HE)

13-056: Chondroides Hamartom (HE)

13-057a: Pneumocystis-carinii-Pneumonie (HE)

13-057b: Pneumocystis-carinii-Pneumonie (PAS)

13-059: BAC non-mucinous (HE)

13-060a: Aspergillom (HE)

13-060b: Aspergillom (PAS)

13-061: Reaktive pneumozytäre Zellhyperplasie (HE)

13-062a: Invasive Mykose (HE)

13-062b: Invasive Mykose (PAS)

13-063: Pleomorphes Adenom (HE)

13-064a: EAA (HE)

13-064b: EAA (EvG)

13-065: Metastase Teratom (HE)

13-066: Metastase PECA Zugengrund (HE)

13-067a: AL- Amyloidose (HE)

13-067b: AL- Amyloidose (Kongorot)

13-068a: Idiopathische pulmonale Hämorrhagie (HE)

13-069: Adenosquamöses Karzinom (HE)

13-070: DLBCL (HE)

13-071: NSIP bei RA (HE)

13-072: Nekrose lappenspaltnahen FGs (HE)

13-073: Metastase papilläres Schilddrüsenkarzinom (HE)

13-074: Sarkoidose (HE)

13-075a: Riesenzellkarzinom (HE)

13-075b: Riesenzellkarzinom (HE)

13-076: Eitrige Bronchitis und Peribronchitis (HE)

13-077: Pleomorphes CA (HE)

13-078: SCLC (HE)

13-079: NEC, Pagetoide TM- Ausbreitung (HE)

13-080: Metastase Mamma CA (invasiv duktal)

13-081: LCC (HE)

13-082: Bronchopneumonie (HE)

13-083a: Aspergilluspneumonie (HE)

13-083b: Aspergilluspneumonie (PAS)

13-084: Aszinuszell-CA (HE)

13-085: Langerhanszellhistiozytose (HE)

13-086: Inflammatorischer myofibroblastärer Tu (HE)

13-087: Fibroepithelialer Polyp (HE)

13-088: Lungenemphysem (HE)

13-089: Papilläres CA Lunge (HE)

13-090a: Aspergilluspneumonie (HE)

13-090b: Aspergilluspneumonie (PAS)

13-090c: Aspergilluspneumonie (HE)

13-091: TBC (HE)

13-093a: Ziliare Metaplasie Bronchialdrüsen (HE)

13-093b: Ziliare Metaplasie Bronchialdrüsen (PAS)

13-094: Unklar: DD IMT, nekrotisierende sarkoidale Granulomatose, Wegene (HE)

13-095: LCNEC (HE)

13-096a: Floride Pneumonie in Organisation (HE)

13-096b: Floride Pneumonie in Organisation (EvG)

13-097: Granulomatöse Penibronchitis, Nachweis atypischer Mycobakterien (HE)

13-098a: BAC non-mucinous (HE)

13-098b: BAC non-mucinous (PAS)

13-099: Bronchiektasen, erosive Bronchitis, Mittelllappensyndrom (HE)

13-100: Sarkoidose (HE)

13-101a: Nekrotisierende granulomatöse Bronchiolitis (HE)

13-101b: Nekrotisierende granulomatöse Bronchiolitis (EvG)

13-102: TBC (HE)

13-103: Karzinoid (HE)

13-104a: Nekrotisierende sarkoidale Granulomatose (HE)

13-104b: Nekrotisierende sarkoidale Granulomatose (PAS)

13-104c: Nekrotisierende sarkoidale Granulomatose (PAS)

13-105a: Pulmonale Metastase Teratom (HE)

13-105b: Pulmonale Metastase Teratom (HE)

13-106a: PCP und CMV Pneumonie (HE)

13-106b: PCP und CMV Pneumonie (PAS)

13-106c: PCP und CMV Pneumonie (Grocott)

13-106d: PCP und CMV Pneumonie (HE)

13-107: Floride nekrotisierende Bronchitis und Bronchopneumonie, begleit (HE)

13-108: Sarkoidose (HE)

13-109: SCLC (HE)

13-110a: Riesenzell CA (HE)

13-110b: Riesenzell CA (HE)

13-111: Nekro.gran. Entzündung, bek. rheumatoide Arthritis

13-112: PECA mit vielen Eosiniphilen (HE)

13-113: UIP bei RA und Amiodaroneinnahme

13-114: Kaposi (HE)

13-115: Myeloisches Sarkom (HE)

13-116: Pleomorphes CA (HE)

13-117: Papilläres Adenokarzinom (HE)

13-118: Chondroides Hamartom (HE)

13-119: Sarkomatoides NSCLC, Spindelzellig (HE)

13-120: TBC (HE)

13-121: Sarkoidose (HE)

13-122: LCNEC (HE)

13-123: Papilläres Adeno- CA (HE)

13-124a: UIP (HE)

13-124b: UIP (EvG)

13-125: Intrapulmonaler LK mit TBC (HE)

13-126a: Plasmozytom (HE)

13-126b: Plasmozytom (Giemsa)

13-127a: Kapillaritis, Einblutungen part. in Organisation bei Goodpasture (HE)

13-127b: Kapillaritis, Einblutungen part. in Organisation bei Goodpasture (PAS)

13-127c: Kapillaritis, Einblutungen part. in Organisation bei Goodpasture (EvG)

13-128: Chondroide Läsion vereinbar mit chondr. Hamartom (HE)

13-129a: Bleomycinlunge (HE)

13-129b: Bleomycinlunge (EvG)

13-129c: Bleomycinlunge (PAS)

13-130: CMV- Pneumonie (HE)

13-131: Candida-Granulom (HE)

13-132: Nekrot. Pneumonie PCP, Pseudomonas (PCR+) (HE)

13-133: Plattenepithelpapillom Bronchus (HE)

13-134a: Adeno Lunge Pleurainv, T2 (HE)

13-134b: Adeno Lunge Pleurainv, T2 (EvG)

13-135: LAC Mamma CA, Bronchus (HE)

13-136: Inflammatorischer myofibroblastärer Tu (HE)

13-137: Lobärpneumonie

13-138: o.D.

13-139: pulmonales Blastom

13-140: Onkozytäre Metaplasie (HE)

13-141: Silikose (HE)

13-142: Epitheloides Mesotheliom (HE)

13-143: o.D.

13-144: Metastase Adenokarzinom d. Endometrium (HE)

13-145: Adenoid-zystisches Ca (HE)

13-146: Chondrosarkom (HE)

13-147: Langerhanszell-Histiozytose (HE)

376504.jpg

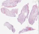
13-148a: Sklerosierendes Hämangiom

376613.jpg

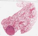
13-148b: Sklerosierendes Hämangiom

376616

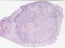
13-148c: Sklerosierendes Hämangiom (Ck7 + p63)

376614

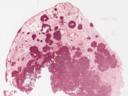
13-148d: Sklerosierendes Hämangiom (CK5/6 + TTF1)

Organpathologie-Atlas

slidebox

Respirationstrakt

Suche in den Kästen: