Tag error: <txp:ps_image_count category='<txp:category />' /> ->  Textpattern Warning: ps_image_count tag does not exist while parsing form None on page atlas
textpattern/lib/txplib_publish.php:543 trigger_error()
textpattern/lib/txplib_publish.php:429 processTags()
textpattern/publish/taghandlers.php:3035 parse()
variable()
textpattern/vendors/Textpattern/Tag/Registry.php:140 call_user_func()
textpattern/lib/txplib_publish.php:540 Textpattern\Tag\Registry->process()
textpattern/lib/txplib_publish.php:429 processTags()
textpattern/publish/taghandlers.php:2927 parse()
if_different()
textpattern/vendors/Textpattern/Tag/Registry.php:140 call_user_func()
10-Ovar-Tube | el-IPH · Organpathologie-Atlas
 
UniHD


10-Ovar-Tube


Organpathologie » Gyn und Mamma » 10-Ovar-Tube

10-01: Fibrom (HE)

10-02: Zystenadenofibrom (HE)

10-03: Leydigzellhyperplasie (HE)

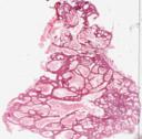
10-04: Reifes Teratom (HE)

10-05a: Aktinomykose (HE)

10-05b: Aktinomykose (PAS)

10-06: Adenomatoidtumor

10-07: Sertoli-Leydigzell-Tumor, intermediärer Typ (HE)

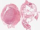
10-08: Endometriosezyste und seröse Zyste am Ovar li. (HE)

10-09: Juveniler Granulosazelltumor

10-10: Psammonkarzinom (HE)

10-11: Follikelzyste (HE)

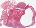
10-12: Part. xanthomatöse Salpingitis (HE)

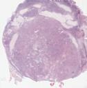
10-13: Fibrom (HE)

10-14: Adulter Granulosazelltumor (HE)

10-15a: Part. mikropap. BOT mit Überg. in gut differenziertes seröses CA (HE)

10-15b: Part. mikropap. BOT mit Überg. in gut differenziertes seröses CA (HE)

10-16: Muzinöser BOT mit Mikroinvasion (HE)

10-17: Karzinoid in Struma ovarii (HE)

10-18: Sertoli-Leydigzell-Tumor

Organpathologie-Atlas

slidebox

Gyn und Mamma

Suche in den Kästen: